You have no items in your shopping cart.
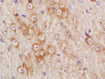
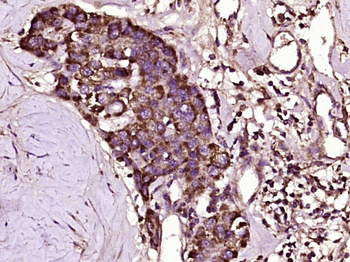
NPR3 Rabbit Polyclonal Antibody
Description
Images & Validation
−| Tested Applications | WB |
|---|---|
| Reactivity | Human |
| Predicted Reactivity | Bovine, Canine, Equine, Mouse, Rabbit, Rat |
Key Properties
−| Host | Rabbit |
|---|---|
| Clonality | Polyclonal |
| Target | NPR3 |
| Protein Sequence | Synthetic peptide located within the following region: NMEDYVNMFVEGFHDAILLYVLALHEVLRAGYSKKDGGKIIQQTWNRTFE |
| Molecular Weight | 37kDa |
| Purification | Affinity Purified |
| Conjugation | Unconjugated |
Storage & Handling
−| Storage | Maintain refrigerated at 2-8°C for up to 2 weeks. For long term storage store at -20°C in small aliquots to prevent freeze-thaw cycles. |
|---|---|
| Buffer/Preservatives | Liquid. Purified antibody supplied in 1x PBS buffer with 0.09% (w/v) sodium azide and 2% sucrose. |
| Concentration | 0.5 mg/ml |
| Expiration Date | 12 months from date of receipt. |
| Disclaimer | For research use only |
Alternative Names
−Similar Products
−NPRL3 Rabbit Polyclonal Antibody [orb221825]
IF, IHC-Fr, IHC-P, WB
Canine, Porcine, Rat
Human, Mouse
Rabbit
Polyclonal
Unconjugated
50 μl, 200 μl, 100 μlNPRC Rabbit Polyclonal Antibody [orb6529]
IF, IHC-Fr, IHC-P, WB
Bovine, Equine, Mouse, Rat
Human
Rabbit
Polyclonal
Unconjugated
50 μl, 100 μl, 200 μlNPR3 Rabbit Polyclonal Antibody [orb586059]
WB
Bovine, Canine, Equine, Mouse, Porcine, Rabbit, Rat
Human
Rabbit
Polyclonal
Unconjugated
100 μlNPR3 Rabbit Polyclonal Antibody [orb629383]
ELISA, IHC
Human
Rabbit
Polyclonal
Unconjugated
50 μg, 100 μg

Quality Guarantee
Explore bioreagents carefree to elevate your research. All our products are rigorously tested for performance. If a product does not perform as described on its datasheet, our scientific support team will provide expert troubleshooting, a prompt replacement, or a refund. For full details, please see our Terms & Conditions and Buying Guide. Contact us at [email protected].

WB Suggested Anti-NPR3 Antibody, Titration: 1.0 ug/ml, Positive Control: Hela Whole Cell.
Quick Database Links
UniProt Details
−NCBI Reference Sequences
−| Protein | NP_001191305 |
|---|
Documents Download
Request a Document
NPR3 Rabbit Polyclonal Antibody (orb586060)
Participating in our Biorbyt product reviews program enables you to support fellow scientists by sharing your firsthand experience with our products.
Login to Submit a Review





