You have no items in your shopping cart.
PGP9.5 Mouse Monoclonal Antibody
Description
Images & Validation
−| Tested Applications | IF, IHC-Fr, IHC-P, WB |
|---|---|
| Dilution Range | IHC-P=1:100-500, WB=1:500-2000, IF=1:100-500, IHC-F=1:100-500 |
| Reactivity | Human, Mouse, Rat |
| Predicted Reactivity | Human, Mouse, Rat |
Related Conjugates & Formulations
−Key Properties
−| Antibody Type | Primary Antibody |
|---|---|
| Host | Mouse |
| Clonality | Monoclonal |
| Clone No. | 7E9 |
| Immunogen | Recombinant human UCHL1 protein |
| Target | UCHL1 |
| Molecular Weight | 25 kDa |
| Purification | Affinity purified by Protein A |
| Conjugation | Unconjugated |
Storage & Handling
−| Storage | Maintain refrigerated at 2-8°C for up to 2 weeks. For long term storage store at -20°C in small aliquots to prevent freeze-thaw cycles. |
|---|---|
| Form/Appearance | Liquid |
| Buffer/Preservatives | 0.01M TBS (pH7.4) with 1% rAlbumin, 0.02% Proclin300 and 50% Glycerol. |
| Concentration | 1mg/ml |
| Expiration Date | 12 months from date of receipt. |
| Disclaimer | For research use only |
Alternative Names
−Similar Products
−PGP9.5/PGP9 Mouse Monoclonal Antibody [orb763096]
FC, IHC, WB
Human, Mouse, Rat
Mouse
Monoclonal
Unconjugated
100 μgPGP9.5 Mouse Monoclonal Antibody [orb705469]
IHC, WB
Human
Mouse
Monoclonal
Unconjugated
50 μl, 30 μl, 100 μl, 200 μlUCHL1 Antibody [orb389260]
FC, IF, IHC, WB
Bovine, Canine, Hamster, Human, Mouse, Rat
Mouse
Monoclonal
Unconjugated
20 μg, 100 μg, 100 μg (without BSA and Azide)UCHL1 Antibody [orb389264]
IHC, WB
Canine, Human, Rat
Mouse
Monoclonal
Unconjugated
20 μg, 100 μg, 100 μg (without BSA and Azide)

Quality Guarantee
Explore bioreagents carefree to elevate your research. All our products are rigorously tested for performance. If a product does not perform as described on its datasheet, our scientific support team will provide expert troubleshooting, a prompt replacement, or a refund. For full details, please see our Terms & Conditions and Buying Guide. Contact us at [email protected].

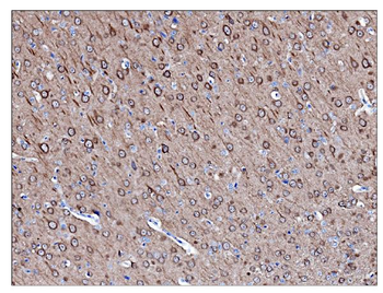
Paraformaldehyde-fixed, paraffin embedded (human brain), Antigen retrieval by boiling in sodium citrate buffer (pH6.0) for 15 min, Block endogenous peroxidase by 3% hydrogen peroxide for 20 minutes, Blocking buffer (normal goat serum) at 37°C for 30 min, Incubation with (PGP9.5) Monoclonal Antibody, Unconjugated (orb2563495) at 1:200 overnight at 4°C, followed by operating according to SP Kit (Mouse) instructionsand DAB staining.

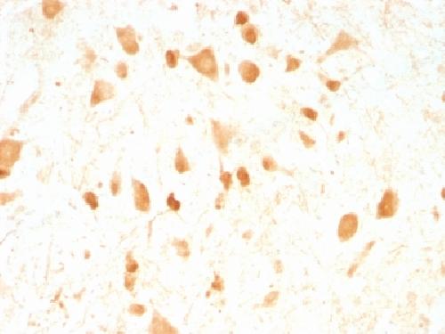
Paraformaldehyde-fixed, paraffin embedded (human cerebellum), Antigen retrieval by boiling in sodium citrate buffer (pH6.0) for 15 min, Block endogenous peroxidase by 3% hydrogen peroxide for 20 minutes, Blocking buffer (normal goat serum) at 37°C for 30 min, Incubation with (PGP9.5) Monoclonal Antibody, Unconjugated (orb2563495) at 1:200 overnight at 4°C, followed by operating according to SP Kit (Mouse) instructionsand DAB staining.

Paraformaldehyde-fixed, paraffin embedded (human colon carcinoma), Antigen retrieval by boiling in sodium citrate buffer (pH6.0) for 15 min, Block endogenous peroxidase by 3% hydrogen peroxide for 20 minutes, Blocking buffer (normal goat serum) at 37°C for 30 min, Incubation with (PGP9.5) Monoclonal Antibody, Unconjugated (orb2563495) at 1:200 overnight at 4°C, followed by operating according to SP Kit (Mouse) instructionsand DAB staining.

Paraformaldehyde-fixed, paraffin embedded (human colon), Antigen retrieval by boiling in sodium citrate buffer (pH6.0) for 15 min, Block endogenous peroxidase by 3% hydrogen peroxide for 20 minutes, Blocking buffer (normal goat serum) at 37°C for 30 min, Incubation with (PGP9.5) Monoclonal Antibody, Unconjugated (orb2563495) at 1:200 overnight at 4°C, followed by operating according to SP Kit (Mouse) instructionsand DAB staining.

Paraformaldehyde-fixed, paraffin embedded (Human duodenum), Antigen retrieval by boiling in sodium citrate buffer (pH6.0) for 15 min, Block endogenous peroxidase by 3% hydrogen peroxide for 20 minutes, Blocking buffer (normal goat serum) at 37°C for 30 min, Incubation with (PGP9.5) Monoclonal Antibody, Unconjugated (orb2563495) at 1:200 overnight at 4°C, followed by operating according to SP Kit (Mouse) instructionsand DAB staining.

Paraformaldehyde-fixed, paraffin embedded (human lung carcinoma), Antigen retrieval by boiling in sodium citrate buffer (pH6.0) for 15 min, Block endogenous peroxidase by 3% hydrogen peroxide for 20 minutes, Blocking buffer (normal goat serum) at 37°C for 30 min, Incubation with (PGP9.5) Monoclonal Antibody, Unconjugated (orb2563495) at 1:200 overnight at 4°C, followed by operating according to SP Kit (Mouse) instructionsand DAB staining.

Paraformaldehyde-fixed, paraffin embedded (mouse brain), Antigen retrieval by boiling in sodium citrate buffer (pH6.0) for 15 min, Block endogenous peroxidase by 3% hydrogen peroxide for 20 minutes, Blocking buffer (normal goat serum) at 37°C for 30 min, Incubation with (PGP9.5) Monoclonal Antibody, Unconjugated (orb2563495) at 1:200 overnight at 4°C, followed by operating according to SP Kit (Mouse) instructionsand DAB staining.

Paraformaldehyde-fixed, paraffin embedded (mouse colon), Antigen retrieval by boiling in sodium citrate buffer (pH6.0) for 15 min, Block endogenous peroxidase by 3% hydrogen peroxide for 20 minutes, Blocking buffer (normal goat serum) at 37°C for 30 min, Incubation with (PGP9.5) Monoclonal Antibody, Unconjugated (orb2563495) at 1:200 overnight at 4°C, followed by operating according to SP Kit (Mouse) instructionsand DAB staining.

Paraformaldehyde-fixed, paraffin embedded (mouse intestine), Antigen retrieval by boiling in sodium citrate buffer (pH6.0) for 15 min, Block endogenous peroxidase by 3% hydrogen peroxide for 20 minutes, Blocking buffer (normal goat serum) at 37°C for 30 min, Incubation with (PGP9.5) Monoclonal Antibody, Unconjugated (orb2563495) at 1:200 overnight at 4°C, followed by operating according to SP Kit (Mouse) instructionsand DAB staining.

Paraformaldehyde-fixed, paraffin embedded (rat brain), Antigen retrieval by boiling in sodium citrate buffer (pH6.0) for 15 min, Block endogenous peroxidase by 3% hydrogen peroxide for 20 minutes, Blocking buffer (normal goat serum) at 37°C for 30 min, Incubation with (PGP9.5) Monoclonal Antibody, Unconjugated (orb2563495) at 1:200 overnight at 4°C, followed by operating according to SP Kit (Mouse) instructionsand DAB staining.

Paraformaldehyde-fixed, paraffin embedded (rat cerebellum), Antigen retrieval by boiling in sodium citrate buffer (pH6.0) for 15 min, Block endogenous peroxidase by 3% hydrogen peroxide for 20 minutes, Blocking buffer (normal goat serum) at 37°C for 30 min, Incubation with (PGP9.5) Monoclonal Antibody, Unconjugated (orb2563495) at 1:200 overnight at 4°C, followed by operating according to SP Kit (Mouse) instructionsand DAB staining.

Paraformaldehyde-fixed, paraffin embedded (rat colon), Antigen retrieval by boiling in sodium citrate buffer (pH6.0) for 15 min, Block endogenous peroxidase by 3% hydrogen peroxide for 20 minutes, Blocking buffer (normal goat serum) at 37°C for 30 min, Incubation with (PGP9.5) Monoclonal Antibody, Unconjugated (orb2563495) at 1:200 overnight at 4°C, followed by operating according to SP Kit (Mouse) instructionsand DAB staining.

Paraformaldehyde-fixed, paraffin embedded (rat intestine), Antigen retrieval by boiling in sodium citrate buffer (pH6.0) for 15 min, Block endogenous peroxidase by 3% hydrogen peroxide for 20 minutes, Blocking buffer (normal goat serum) at 37°C for 30 min, Incubation with (PGP9.5) Monoclonal Antibody, Unconjugated (orb2563495) at 1:200 overnight at 4°C, followed by operating according to SP Kit (Mouse) instructionsand DAB staining.

Sample: Lane 1: Mouse Cerebrum tissue lysates, Lane 2: Mouse Cerebellum tissue lysates, Lane 3: Rat Cerebrum tissue lysates, Lane 4: Rat Cerebellum tissue lysates, Lane 5: Human DU145 cell lysates, Lane 6: Human U266 cell lysates, Lane 7: Human Ramos cell lysates, Lane 8: Human K562 cell lysates (negative control), Primary: Anti-PGP9.5 (orb2563495) at 1/1000 dilution, Secondary: IRDye800CW Goat Anti-Mouse IgG at 1/20000 dilution, Predicted band size: 25 kDa, Observed band size: 26 kDa.
Quick Database Links
Documents Download
Request a Document
Protocol Information
PGP9.5 Mouse Monoclonal Antibody (orb2563495)
Participating in our Biorbyt product reviews program enables you to support fellow scientists by sharing your firsthand experience with our products.
Login to Submit a Review















