You have no items in your shopping cart.
Phospho-Amyloid Precursor Protein (Ser730) Rabbit Polyclonal Antibody
Description
Research Area
Images & Validation
−| Tested Applications | FC, IF, IHC-Fr, IHC-P |
|---|---|
| Dilution Range | IHC-P=1:100-500, IHC-F=1:100-500, IF=1:100-500, Flow-Cyt=1μg/Test |
| Reactivity | Mouse, Rat |
| Predicted Reactivity | Bovine, Canine, Equine, Gallus, Human, Porcine, Rabbit |
Related Conjugates & Formulations
−Key Properties
−| Antibody Type | Primary Antibody |
|---|---|
| Host | Rabbit |
| Clonality | Polyclonal |
| Isotype | IgG |
| Immunogen | KLH conjugated Synthesised phosphopeptide derived from human APP770 around the phosphorylation site of Ser730 YT(p-S)IH |
| Target | APP |
| Molecular Weight | 3.4-9/83 kDa |
| Purification | Affinity purified by Protein A |
| Conjugation | Unconjugated |
Storage & Handling
−| Storage | Maintain refrigerated at 2-8°C for up to 2 weeks. For long term storage store at -20°C in small aliquots to prevent freeze-thaw cycles. |
|---|---|
| Form/Appearance | Liquid |
| Buffer/Preservatives | 0.01M TBS (pH7.4) with 1% rAlbumin, 0.02% Proclin300 and 50% Glycerol. |
| Concentration | 1mg/ml |
| Expiration Date | 12 months from date of receipt. |
| Disclaimer | For research use only |
Alternative Names
−Similar Products
−Phospho-Amyloid Precursor Protein (Ser730) Rabbit Polyclonal Antibody (Biotin) [orb502303]
FC, IF, IHC-Fr, IHC-P
Bovine, Canine, Equine, Gallus, Human, Porcine, Rabbit
Mouse, Rat
Rabbit
Polyclonal
Biotin
100 μlPhospho-Amyloid Precursor Protein (Ser730) Rabbit Polyclonal Antibody (Cy5) [orb895654]
FC, IF
Bovine, Canine, Equine, Gallus, Human, Porcine, Rabbit
Mouse, Rat
Rabbit
Polyclonal
Cy5
100 μlPhospho-Amyloid Precursor Protein (Ser730) Rabbit Polyclonal Antibody (PE) [orb504770]
FC, IF
Bovine, Canine, Equine, Gallus, Human, Porcine, Rabbit
Mouse, Rat
Rabbit
Polyclonal
PE
100 μlPhospho-Amyloid Precursor Protein (Ser730) Rabbit Polyclonal Antibody (PE-Cy5.5) [orb897809]
FC, IF
Bovine, Canine, Equine, Gallus, Human, Porcine, Rabbit
Mouse, Rat
Rabbit
Polyclonal
PE/Cy5.5
100 μlPhospho-Amyloid Precursor Protein (Ser730) Rabbit Polyclonal Antibody (AP) [orb895984]
IHC-Fr, IHC-P
Bovine, Canine, Equine, Gallus, Human, Porcine, Rabbit
Mouse, Rat
Rabbit
Polyclonal
AP
100 μl

Quality Guarantee
Explore bioreagents carefree to elevate your research. All our products are rigorously tested for performance. If a product does not perform as described on its datasheet, our scientific support team will provide expert troubleshooting, a prompt replacement, or a refund. For full details, please see our Terms & Conditions and Buying Guide. Contact us at [email protected].

Blank control (blue line): Mouse Spleen cells (fixed with 70% methanol (Overnight at 4°C) and then permeabilized with 0.1% Tween for 20 min at room temperature). Primary Antibody (green line): Rabbit Anti-phospho-Amyloid Precursor Protein (Ser730) antibody (orb4528), dilution: 1 µg/10^6 cells, Isotype Control Antibody (orange line): Rabbit IgG. Secondary Antibody (white blue line): Goat anti-rabbit IgG-FITC, dilution: 1 µg/Test.

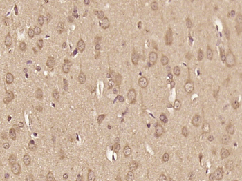
Paraformaldehyde-fixed, paraffin embedded (rat brain tissue), Antigen retrieval by boiling in sodium citrate buffer (pH6.0) for 15 min, Block endogenous peroxidase by 3% hydrogen peroxide for 20 minutes, Blocking buffer (normal goat serum) at 37°C for 30 min, Antibody incubation with (APP (Phospho-Ser730)) Polyclonal Antibody, Unconjugated (orb4528) at 1:400 overnight at 4°C, followed by operating according to SP Kit (Rabbit) instructionsand DAB staining.
Quick Database Links
UniProt Details
−Documents Download
Request a Document
Protocol Information
Phospho-Amyloid Precursor Protein (Ser730) Rabbit Polyclonal Antibody (orb4528)
Participating in our Biorbyt product reviews program enables you to support fellow scientists by sharing your firsthand experience with our products.
Login to Submit a Review