You have no items in your shopping cart.
Phospho-C-Myc (Ser373) Rabbit Polyclonal Antibody
Description
Research Area
Images & Validation
−| Tested Applications | FC, IF, IHC-Fr, IHC-P |
|---|---|
| Dilution Range | IHC-P=1:100-500, IHC-F=1:100-500, IF=1:100-500, Flow-Cyt=1μg/Test |
| Reactivity | Human |
| Predicted Reactivity | Bovine, Mouse, Porcine, Rat |
Related Conjugates & Formulations
−Key Properties
−| Antibody Type | Primary Antibody |
|---|---|
| Host | Rabbit |
| Clonality | Polyclonal |
| Isotype | IgG |
| Immunogen | KLH conjugated synthesised phosphopeptide derived from human C-Myc around the phosphorylation site of Ser373 KR(p-S)F |
| Target | MYC |
| Molecular Weight | 49 kDa |
| Purification | Affinity purified by Protein A |
| Conjugation | Unconjugated |
Storage & Handling
−| Storage | Maintain refrigerated at 2-8°C for up to 2 weeks. For long term storage store at -20°C in small aliquots to prevent freeze-thaw cycles. |
|---|---|
| Form/Appearance | Liquid |
| Buffer/Preservatives | 0.01M TBS (pH7.4) with 1% rAlbumin, 0.02% Proclin300 and 50% Glycerol. |
| Concentration | 1mg/ml |
| Expiration Date | 12 months from date of receipt. |
| Disclaimer | For research use only |
Alternative Names
−Similar Products
−Phospho-C-Myc (Ser373) Rabbit Polyclonal Antibody (PE) [orb505998]
FC, IF
Bovine, Mouse, Porcine, Rat
Human
Rabbit
Polyclonal
PE
100 μlPhospho-C-Myc (Ser373) Rabbit Polyclonal Antibody (HRP) [orb502965]
IHC-Fr, IHC-P
Bovine, Mouse, Porcine, Rat
Human
Rabbit
Polyclonal
HRP
100 μlPhospho-C-Myc (Ser373) Rabbit Polyclonal Antibody (Biotin) [orb501040]
FC, IF, IHC-Fr, IHC-P
Bovine, Mouse, Porcine, Rat
Human
Rabbit
Polyclonal
Biotin
100 μlPhospho-C-Myc (Ser373) Rabbit Polyclonal Antibody (FITC) [orb3870]
FC, IF
Bovine, Mouse, Porcine, Rat
Human
Rabbit
Polyclonal
FITC
100 μlPhospho-C-Myc (Ser373) Rabbit Polyclonal Antibody (PE-Cy5.5) [orb881021]
FC, IF
Bovine, Mouse, Porcine, Rat
Human
Rabbit
Polyclonal
PE/Cy5.5
100 μl

Quality Guarantee
Explore bioreagents carefree to elevate your research. All our products are rigorously tested for performance. If a product does not perform as described on its datasheet, our scientific support team will provide expert troubleshooting, a prompt replacement, or a refund. For full details, please see our Terms & Conditions and Buying Guide. Contact us at [email protected].

Blank control (blue line): Hela cells (fixed with 70% methanol (Overnight at 4°C) and then permeabilized with 90% ice-cold methanol for 20 min at -20°C). Primary Antibody (green line): Rabbit Anti-phospho-C-Myc (Thr373) antibody (orb1840), dilution: 0.2 µg/10^6 cells, Isotype Control Antibody (orange line): Rabbit IgG. Secondary Antibody (white blue line): Goat anti-rabbit IgG-PE, dilution: 1 µg/Test.

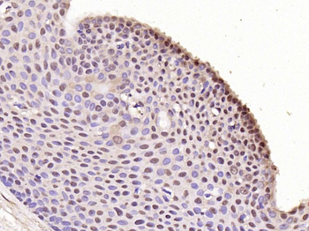
Paraformaldehyde-fixed, paraffin embedded (human laryngeal carcinoma), Antigen retrieval by boiling in sodium citrate buffer (pH6.0) for 15 min, Block endogenous peroxidase by 3% hydrogen peroxide for 20 minutes, Blocking buffer (normal goat serum) at 37°C for 30 min, Antibody incubation with (phospho-C-Myc (Ser373)) Polyclonal Antibody, Unconjugated (orb1840) at 1:200 overnight at 4°C, followed by operating according to SP Kit (Rabbit) instructionsand DAB staining.
Quick Database Links
UniProt Details
−Documents Download
Request a Document
Protocol Information
Phospho-C-Myc (Ser373) Rabbit Polyclonal Antibody (orb1840)
Participating in our Biorbyt product reviews program enables you to support fellow scientists by sharing your firsthand experience with our products.
Login to Submit a Review