You have no items in your shopping cart.
Description
Research Area
Images & Validation
−| Tested Applications | ELISA |
|---|---|
| Dilution Range | ELISA=1:5000-10000 |
| Reactivity | Human |
| Predicted Reactivity | Canine, Human, Mouse, Rat |
Key Properties
−| Antibody Type | Primary Antibody |
|---|---|
| Host | Rabbit |
| Clonality | Polyclonal |
| Isotype | IgG |
| Immunogen | KLH conjugated Synthesised phosphopeptide derived from human PDGFRA around the phosphorylation site of Tyr762 SL(p-Y)DR |
| Target | PDGFRA |
| Molecular Weight | 117 kDa |
| Purification | Affinity purified by Protein A |
| Conjugation | Unconjugated |
Storage & Handling
−| Storage | Maintain refrigerated at 2-8°C for up to 2 weeks. For long term storage store at -20°C in small aliquots to prevent freeze-thaw cycles. |
|---|---|
| Form/Appearance | Liquid |
| Buffer/Preservatives | 0.01M TBS (pH7.4) with 1% rAlbumin, 0.02% Proclin300 and 50% Glycerol. |
| Concentration | 1mg/ml |
| Expiration Date | 12 months from date of receipt. |
| Disclaimer | For research use only |
Alternative Names
−Similar Products
−Phospho-PDGFRA (Tyr762) Rabbit Polyclonal Antibody (Biotin) [orb502432]
ELISA
Canine, Human, Mouse, Rat
Rabbit
Polyclonal
Biotin
100 μlPhospho-PDGFRA (Tyr762) Rabbit Polyclonal Antibody (HRP) [orb503062]
ELISA
Canine, Human, Mouse, Rat
Rabbit
Polyclonal
HRP
100 μl

Quality Guarantee
Explore bioreagents carefree to elevate your research. All our products are rigorously tested for performance. If a product does not perform as described on its datasheet, our scientific support team will provide expert troubleshooting, a prompt replacement, or a refund. For full details, please see our Terms & Conditions and Buying Guide. Contact us at [email protected].
_antibody_[out_of_stock]_orb6663_ihc-p_1.jpg)
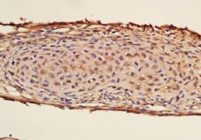
Immunohistochemical analysis of formalin-fixed paraffin embedded mouse embryos tissue using PDGFRA (phospho-Tyr762) antibody (dilution at 1:200)
Quick Database Links
UniProt Details
−Documents Download
Request a Document
Phospho-PDGFRA (Tyr762) Rabbit Polyclonal Antibody (orb6663)
Participating in our Biorbyt product reviews program enables you to support fellow scientists by sharing your firsthand experience with our products.
Login to Submit a Review