You have no items in your shopping cart.
Description
Research Area
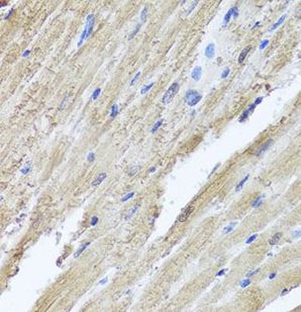
Images & Validation
−| Tested Applications | WB |
|---|---|
| Reactivity | Human |
| Predicted Reactivity | Canine, Equine, Mouse, Porcine, Rabbit, Rat, Zebrafish |
Key Properties
−| Host | Rabbit |
|---|---|
| Clonality | Polyclonal |
| Immunogen | The immunogen is a synthetic peptide directed towards the C-terminal region of human PIK3C2A |
| Target | PIK3C2A |
| Protein Sequence | Synthetic peptide located within the following region: PNPYVKTYLLPDNHKTSKRKTKISRKTRNPTFNEMLVYSGYSKETLRQRE |
| Molecular Weight | 143kDa |
| Purification | Affinity Purified |
| Conjugation | Unconjugated |
Storage & Handling
−| Storage | Maintain refrigerated at 2-8°C for up to 2 weeks. For long term storage store at -20°C in small aliquots to prevent freeze-thaw cycles. |
|---|---|
| Buffer/Preservatives | Liquid. Purified antibody supplied in 1x PBS buffer with 0.09% (w/v) sodium azide and 2% sucrose. |
| Concentration | 0.5 mg/ml |
| Expiration Date | 12 months from date of receipt. |
| Disclaimer | For research use only |
Alternative Names
−Similar Products
−PIK3C2A Rabbit Polyclonal Antibody [orb629924]
ELISA, IHC, WB
Human, Mouse, Rat
Rabbit
Polyclonal
Unconjugated
50 μg, 100 μgPIK3C2A Rabbit Polyclonal Antibody [orb2955932]
ELISA, IHC, WB
Human
Rabbit
Polyclonal
Unconjugated
50 μg, 100 μgPIK3C2A polyclonal antibody [orb647325]
IF, IHC, WB
Human, Mouse, Rat
Rabbit
Polyclonal
Unconjugated
200 μl, 100 μl, 50 μlPIK3C2A Rabbit Polyclonal Antibody (HRP) [orb2090861]
WB
Canine, Equine, Human, Mouse, Porcine, Rabbit, Rat, Zebrafish
Rabbit
Polyclonal
HRP
100 μlPIK3C2A Rabbit Polyclonal Antibody (FITC) [orb2090862]
WB
Canine, Equine, Human, Mouse, Porcine, Rabbit, Rat, Zebrafish
Rabbit
Polyclonal
FITC
100 μl

Quality Guarantee
Explore bioreagents carefree to elevate your research. All our products are rigorously tested for performance. If a product does not perform as described on its datasheet, our scientific support team will provide expert troubleshooting, a prompt replacement, or a refund. For full details, please see our Terms & Conditions and Buying Guide. Contact us at [email protected].

Sample Type: Hela Whole Cell lysates, Antibody dilution: 1.0 ug/ml.
Quick Database Links
UniProt Details
−NCBI Reference Sequences
−| Protein | NP_002636.2 |
|---|
Documents Download
Request a Document
PIK3C2A Rabbit Polyclonal Antibody (orb331330)
Participating in our Biorbyt product reviews program enables you to support fellow scientists by sharing your firsthand experience with our products.
Login to Submit a Review

