You have no items in your shopping cart.
PLA2G7 Rabbit Polyclonal Antibody
Description
Research Area
Images & Validation
−| Tested Applications | IF, IHC-Fr, IHC-P, WB |
|---|---|
| Dilution Range | WB=1:500-2000, IHC-P=1:100-500, IHC-F=1:100-500, IF=1:100-500 |
| Reactivity | Human, Mouse, Rat |
| Predicted Reactivity | Canine |
Related Conjugates & Formulations
−Key Properties
−| Antibody Type | Primary Antibody |
|---|---|
| Host | Rabbit |
| Clonality | Polyclonal |
| Isotype | IgG |
| Immunogen | KLH conjugated synthetic peptide derived from human PAFAH (301-441/441aa) |
| Target | PLA2G7 |
| Molecular Weight | 48 kDa |
| Purification | Affinity purified by Protein A |
| Conjugation | Unconjugated |
Storage & Handling
−| Storage | Maintain refrigerated at 2-8°C for up to 2 weeks. For long term storage store at -20°C in small aliquots to prevent freeze-thaw cycles. |
|---|---|
| Form/Appearance | Liquid |
| Buffer/Preservatives | 0.01M TBS (pH7.4) with 1% rAlbumin, 0.02% Proclin300 and 50% Glycerol. |
| Concentration | 1mg/ml |
| Expiration Date | 12 months from date of receipt. |
| Disclaimer | For research use only |
Alternative Names
−Similar Products
−PLA2G7 Rabbit Polyclonal Antibody [orb395403]
ELISA, IHC, WB
Human, Mouse, Rat
Rabbit
Polyclonal
Unconjugated
50 μg, 100 μgLpPLA2/PLA2G7/PAF-AH Rabbit Polyclonal Antibody [orb2954419]
ELISA, IHC, WB
Human
Rabbit
Polyclonal
Unconjugated
50 μg, 100 μgPAFAH/PLA2G7 Rabbit Polyclonal Antibody [orb443208]
ELISA, WB
Human
Rabbit
Polyclonal
Unconjugated
100 μgPLA2G7 polyclonal antibody [orb647451]
WB
Human, Mouse, Rat
Rabbit
Polyclonal
Unconjugated
200 μl, 100 μl, 50 μl

Quality Guarantee
Explore bioreagents carefree to elevate your research. All our products are rigorously tested for performance. If a product does not perform as described on its datasheet, our scientific support team will provide expert troubleshooting, a prompt replacement, or a refund. For full details, please see our Terms & Conditions and Buying Guide. Contact us at [email protected].

Paraformaldehyde-fixed, paraffin embedded (Mouse brain), Antigen retrieval by boiling in sodium citrate buffer (pH6.0) for 15 min, Block endogenous peroxidase by 3% hydrogen peroxide for 20 minutes, Blocking buffer (normal goat serum) at 37°C for 30 min, Antibody incubation with (PAFAH) Polyclonal Antibody, Unconjugated (orb10981) at 1:400 overnight at 4°C, followed by operating according to SP Kit (Rabbit) instructionsand DAB staining.

Paraformaldehyde-fixed, paraffin embedded (Rat liver), Antigen retrieval by boiling in sodium citrate buffer (pH6.0) for 15 min, Block endogenous peroxidase by 3% hydrogen peroxide for 20 minutes, Blocking buffer (normal goat serum) at 37°C for 30 min, Antibody incubation with (PAFAH) Polyclonal Antibody, Unconjugated (orb10981) at 1:500 overnight at 4°C, followed by a conjugated secondary for 20 minutes and DAB staining.

Sample: Lung (Rat) Lysate at 40 ug, Primary: Anti-PAFAH (orb10981) at 1/300 dilution, Secondary: IRDye800CW Goat Anti-Rabbit IgG at 1/20000 dilution, Predicted band size: 48 kD, Observed band size: 48 kD.

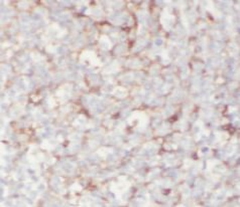
Tissue/Cell: human placenta tissue, 4% Paraformaldehyde-fixed and paraffin-embedded, Antigen retrieval: citrate buffer (0.01M, pH6.0), Boiling bathing for 15 min, Block endogenous peroxidase by 3% Hydrogen peroxide for 30 min, Blocking buffer (normal goat serum) at 37°C for 20 min, Incubation: Anti-PAFAH2/Lp-PLA2 Polyclonal Antibody, Unconjugated (orb10981) 1:200, overnight at 4°C, followed by conjugation to the secondary antibody and DAB staining.

Tissue/Cell: rat spleen tissue, 4% Paraformaldehyde-fixed and paraffin-embedded, Antigen retrieval: citrate buffer (0.01M, pH6.0), Boiling bathing for 15 min, Blocking buffer (normal goat serum) at 37°C for 20 min, Incubation: Anti-PAFAH2 Polyclonal Antibody, Unconjugated (orb10981) 1:200, overnight at 4°C, The secondary antibody was Goat Anti-Rabbit IgG, Cy3 conjugated (orb868589) used at 1:200 dilution for 40 minutes at 37°C.
Quick Database Links
UniProt Details
−Documents Download
Request a Document
Protocol Information
Filter by Applications
Filter by Species
Qianping Zhang # 1, Tiantian Sun # 1, Fan Yu 1, Wei Liu 1, Jin Gao 1, Jinyu Chen 2, Hao Zheng 1, Jinming Liu 1, Chenjian Miao 3, Huanyi Guo 3, Wu Tian 4, Meihui Su 5, Yingjie Guo 6, Xi Liu 1, Yandong Pei 1, Zhuofei Wang 7, Shang Chen 8, Chenglong Mu 1, Sin Man Lam 9 10, Guanghou Shui 9 11, Zongjin Li 8, Zhongbo Yu 7, Yan Zhang 4, Guo Chen 1, Congcong Lu 1, Adam C Midgley 12, Changhua Li 5, Xin Bian 1, Xudong Liao 1, Yong Wang 13, Wei Xiong 14, Hongying Zhu 15, Yanjun Li 16, Quan Chen PAFAH2 suppresses synchronized ferroptosis to ameliorate acute kidney injury Nat Chem Biol, (2024)
Applications
Reactivity
PLA2G7 Rabbit Polyclonal Antibody (orb10981)
Participating in our Biorbyt product reviews program enables you to support fellow scientists by sharing your firsthand experience with our products.
Login to Submit a Review



