You have no items in your shopping cart.
Description
Research Area
Images & Validation
−| Tested Applications | FC, IF, IHC-Fr, IHC-P, WB |
|---|---|
| Dilution Range | WB=1:500-2000, IHC-P=1:100-500, IHC-F=1:100-500, IF=1:100-500, Flow-Cyt=1μg /test |
| Reactivity | Human, Mouse, Rat |
| Predicted Reactivity | Bovine, Equine, Gallus, Porcine, Rabbit |
Related Conjugates & Formulations
−Key Properties
−| Antibody Type | Primary Antibody |
|---|---|
| Host | Rabbit |
| Clonality | Polyclonal |
| Isotype | IgG |
| Immunogen | KLH conjugated synthetic peptide derived from human PPAR alpha (301-400/468aa) |
| Target | Ppara |
| Molecular Weight | 51 kDa |
| Purification | Affinity purified by Protein A |
| Conjugation | Unconjugated |
Storage & Handling
−| Storage | Maintain refrigerated at 2-8°C for up to 2 weeks. For long term storage store at -20°C in small aliquots to prevent freeze-thaw cycles. |
|---|---|
| Form/Appearance | Liquid |
| Buffer/Preservatives | 0.01M TBS (pH7.4) with 1% rAlbumin, 0.02% Proclin300 and 50% Glycerol. |
| Concentration | 1mg/ml |
| Expiration Date | 12 months from date of receipt. |
| Disclaimer | For research use only |
Alternative Names
−Similar Products
−PGC1 alpha + beta Rabbit Polyclonal Antibody [orb100963]
FC, IF, IHC-Fr, IHC-P, WB
Bovine, Canine, Equine, Mouse, Porcine, Rabbit
Human, Rat
Rabbit
Polyclonal
Unconjugated
50 μl, 100 μl, 200 μlPPAR alpha Rabbit Polyclonal Antibody [orb499655]
FC, IF, IHC-Fr, IHC-P, WB
Canine, Equine, Gallus, Porcine, Rabbit, Rat, Sheep
Human, Mouse
Rabbit
Polyclonal
Unconjugated
50 μl, 100 μl, 200 μlPPAR-α Polyclonal Antibody [orb1412440]
IF, IHC-P, WB
Human, Mouse, Rat
Rabbit
Polyclonal
Unconjugated
100 μlPPARGC1A Rabbit Polyclonal Antibody [orb317701]
ICC, IF, IHC-Fr, IHC-P, WB
Goat, Mouse, Porcine, Rat
Human
Rabbit
Polyclonal
Unconjugated
50 μl, 100 μl, 200 μlPPARA Rabbit Polyclonal Antibody [orb574497]
WB
Bovine, Canine, Equine, Goat, Guinea pig, Mouse, Rabbit, Rat
Human
Rabbit
Polyclonal
Unconjugated
100 μl

Quality Guarantee
Explore bioreagents carefree to elevate your research. All our products are rigorously tested for performance. If a product does not perform as described on its datasheet, our scientific support team will provide expert troubleshooting, a prompt replacement, or a refund. For full details, please see our Terms & Conditions and Buying Guide. Contact us at [email protected].

Blank control: HepG2. Primary Antibody (green line): Rabbit Anti-PPAR alpha antibody (orb15031), Dilution: 1 µg/10^6 cells, Isotype Control Antibody (orange line): Rabbit IgG. Secondary Antibody: Goat anti-rabbit IgG-AF647, Dilution: 1 µg/Test. Protocol, The cells were fixed with 4% PFA (10 min at room temperature) and then permeabilized with 90% ice-cold methanol for 20 min at -20°C. The cells were then incubated in 5% BSA to block non-specific protein-protein interactions for 30 min at room temperature. Cells stained with Primary Antibody for 30 min at room temperature. The secondary antibody used for 40 min at room temperature. Acquisition of 20000 events was performed.

Blank control: Jurkat. Primary Antibody (green line): Rabbit Anti-PPAR alpha antibody (orb15031), Dilution: 1 µg/10^6 cells, Isotype Control Antibody (orange line): Rabbit IgG. Secondary Antibody: Goat anti-rabbit IgG-FITC, Dilution: 1 µg/Test. Protocol, The cells were fixed with 4% PFA (10 min at room temperature) and then permeabilized with 90% ice-cold methanol for 20 min at -20°C. The cells were then incubated in 5% BSA to block non-specific protein-protein interactions for 30 min at room temperature. Cells stained with Primary Antibody for 30 min at room temperature. The secondary antibody used for 40 min at room temperature. Acquisition of 20000 events was performed.

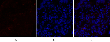
Paraformaldehyde-fixed, paraffin embedded (rat brain), Antigen retrieval by boiling in sodium citrate buffer (pH6.0) for 15 min, Block endogenous peroxidase by 3% hydrogen peroxide for 20 minutes, Blocking buffer (normal goat serum) at 37°C for 30 min, Antibody incubation with (PPAR alpha) Polyclonal Antibody, Unconjugated (orb15031) at 1:200 overnight at 4°C, followed by operating according to SP Kit (Rabbit) instructionsand DAB staining.

Rat splenocytes stained with Anti-PPAR alpha Polyclonal Antibody, PE-CY5 Conjugated at 1:50.

Sample: Heart (Mouse) Lysate at 40 ug Heart (Rat) Lysate at 40 ug Liver (Mouse) Lysate at 40 ug Urinary bladder (Mouse) Lysate at 40 ug Kidney (Mouse) Lysate at 40 ug Primary: Anti-PPAR alpha (orb15031) at 1/1000 dilution Secondary: IRDye800CW Goat Anti-Rabbit IgG at 1/20000 dilution Predicted band size: 52/19 kD Observed band size: 52 kD.

Sample: Heart (Mouse) Lysate at 40 ug, Primary: Anti-PPAP alpha (orb15031) at 1/300 dilution, Secondary: IRDye800CW Goat Anti-Rabbit IgG at 1/10000 dilution, Predicted band size: 51 kD, Observed band size: 51 kD.

Sample: Lane 1: Heart (Mouse) Lysate at 30 ug, Lane 2: Liver (Mouse) Cell Lysate at 30 ug, Primary: Anti-PPAR alpha (orb15031) at 1:300 dilution, Secondary: HRP conjugated Goat-Anti-rabbit IgG (orb572747) at 1:5000dilution, Predicted band size: 51 kD, Observed band size: 51 kD.
Quick Database Links
UniProt Details
−Documents Download
Request a Document
Protocol Information
Zhao, Meng et al. The role of PPAR alpha in perfluorooctanoic acid induced developmental cardiotoxicity and l-carnitine mediated protection-Results of in ovo gene silencing Environ Toxicol Pharmacol, 56, 136-144 (2017)
PPAR alpha Rabbit Polyclonal Antibody (orb15031)
Participating in our Biorbyt product reviews program enables you to support fellow scientists by sharing your firsthand experience with our products.
Login to Submit a Review





















