You have no items in your shopping cart.
RBBP4 Rabbit Polyclonal Antibody
Description
Research Area
Images & Validation
−| Tested Applications | WB |
|---|---|
| Reactivity | Human |
| Predicted Reactivity | Bovine, Canine, Equine, Guinea pig, Mouse, Rabbit, Rat, Zebrafish |
Key Properties
−| Host | Rabbit |
|---|---|
| Clonality | Polyclonal |
| Immunogen | The immunogen is a synthetic peptide directed towards the N terminal region of human RBBP4 |
| Target | RBBP4 |
| Protein Sequence | Synthetic peptide located within the following region: HTSDEQNHLVIASVQLPNDDAQFDASHYDSEKGEFGGFGSVSGKIEIEIK |
| Molecular Weight | 48kDa |
| Purification | Affinity Purified |
| Conjugation | Unconjugated |
Storage & Handling
−| Storage | Maintain refrigerated at 2-8°C for up to 2 weeks. For long term storage store at -20°C in small aliquots to prevent freeze-thaw cycles. |
|---|---|
| Buffer/Preservatives | Liquid. Purified antibody supplied in 1x PBS buffer with 0.09% (w/v) sodium azide and 2% sucrose. |
| Concentration | 0.5 mg/ml |
| Expiration Date | 12 months from date of receipt. |
| Disclaimer | For research use only |
Alternative Names
−Similar Products
−RbAp48/RBBP4 Rabbit Polyclonal Antibody [orb334529]
FC, ICC, IF, IHC-Fr, WB
Human, Mouse, Rat
Rabbit
Polyclonal
Unconjugated
100 μgRBBP4 Rabbit Polyclonal Antibody [orb630550]
ELISA, IF, IHC, IP, WB
Human
Rabbit
Polyclonal
Unconjugated
50 μg, 100 μgRBBP4 Rabbit Polyclonal Antibody [orb100129]
IF, IHC-Fr, IHC-P
Gallus, Human, Rabbit, Zebrafish
Mouse, Rat
Rabbit
Polyclonal
Unconjugated
50 μl, 100 μl, 200 μlRBBP4 Rabbit Polyclonal Antibody [orb630549]
ELISA, IF, IHC, WB
Human, Mouse, Rat
Rabbit
Polyclonal
Unconjugated
50 μg, 100 μg

Quality Guarantee
Explore bioreagents carefree to elevate your research. All our products are rigorously tested for performance. If a product does not perform as described on its datasheet, our scientific support team will provide expert troubleshooting, a prompt replacement, or a refund. For full details, please see our Terms & Conditions and Buying Guide. Contact us at [email protected].

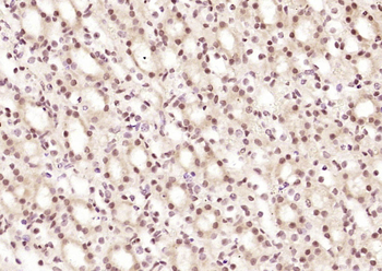
WB Suggested Anti-RBBP4 Antibody Titration: 0.2-1 ug/ml, ELISA Titer: 1:312500, Positive Control: Human Muscle.
Documents Download
Request a Document
G, Matrone et al. Nuclear S-nitrosylation impacts tissue regeneration in zebrafish Nature communications, 12, (2021)
RBBP4 Rabbit Polyclonal Antibody (orb583248)
Participating in our Biorbyt product reviews program enables you to support fellow scientists by sharing your firsthand experience with our products.
Login to Submit a Review



















