You have no items in your shopping cart.
Description
Research Area
Images & Validation
−| Tested Applications | IHC, WB |
|---|---|
| Reactivity | Human |
| Predicted Reactivity | Bovine, Canine, Equine, Mouse, Porcine, Rat |
Key Properties
−| Host | Rabbit |
|---|---|
| Clonality | Polyclonal |
| Immunogen | The immunogen is a synthetic peptide directed towards the N terminal region of human RIPK3 |
| Target | RIPK3 |
| Protein Sequence | Synthetic peptide located within the following region: GGSQSGTGSGEPGGTLGYLAPELFVNVNRKASTASDVYSFGILMWAVLAG |
| Molecular Weight | 57 kDa |
| Purification | Protein A purified |
| Conjugation | Unconjugated |
Storage & Handling
−| Storage | Maintain refrigerated at 2-8°C for up to 2 weeks. For long term storage store at -20°C in small aliquots to prevent freeze-thaw cycles. |
|---|---|
| Buffer/Preservatives | Liquid. Purified antibody supplied in 1x PBS buffer with 0.09% (w/v) sodium azide and 2% sucrose. |
| Concentration | 1.0 mg/ml |
| Expiration Date | 12 months from date of receipt. |
| Disclaimer | For research use only |
Alternative Names
−Similar Products
−RIPK3 Rabbit Polyclonal Antibody [orb6881]
IF, IHC-Fr, IHC-P, WB
Bovine, Canine, Guinea pig, Porcine, Rabbit
Human, Mouse, Rat
Rabbit
Polyclonal
Unconjugated
50 μl, 100 μl, 200 μlRIPK3 Rabbit Polyclonal Antibody [orb592648]
IHC, WB
Canine, Equine
Human, Rat
Rabbit
Polyclonal
Unconjugated
100 μlRIPK3 Rabbit Polyclonal Antibody [orb630695]
ELISA, IHC, IP, WB
Human, Mouse
Rabbit
Polyclonal
Unconjugated
50 μg, 100 μgRIPK3 Rabbit Polyclonal Antibody [orb574405]
WB
Bovine, Equine, Mouse, Rat
Human
Rabbit
Polyclonal
Unconjugated
100 μlRIPK3 Rabbit Polyclonal Antibody [orb2952871]
ELISA, IHC, WB
Human
Rabbit
Polyclonal
Unconjugated
50 μg, 100 μg

Quality Guarantee
Explore bioreagents carefree to elevate your research. All our products are rigorously tested for performance. If a product does not perform as described on its datasheet, our scientific support team will provide expert troubleshooting, a prompt replacement, or a refund. For full details, please see our Terms & Conditions and Buying Guide. Contact us at [email protected].

25 ug of the indicated Human whole cell extracts was loaded onto a 12% SDS-PAGE gel. 1 ug/ml of the antibody was used in this experiment.

Sample Type: Lane 1: Transient overexpression lysate of RIPK3, Lane 2: Non-overexpressed vector control lysate, Antibody dilution: 1.0 ug/ml.

Positive control (+): THP-1 (N30), Negative control (-): A549 (N03), Antibody concentration: 1 ug/ml.

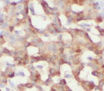
Human Heart

Human Liver

RIPK3 antibody - N-terminal region (orb573829), Catalog Number: orb573829, Formalin Fixed Paraffin Embedded Tissue: Human Pancreas Tissue, Observed Staining: Cytoplasmic in endocrine part (islets) of the pancreas. No staining observed in exocrine cells, Primary Antibody Concentration: 3 -12 ug/ml, Secondary Antibody: Donkey anti-Rabbit-Cy3, Secondary Antibody Concentration: 1:200, Magnification: 20X, Exposure: 0.2 seconds.

WB Suggested Anti-RIPK3 antibody Titration: 1 ug/ml, Sample Type: Human HepG2.

WB Suggested Anti-RIPK3 antibody Titration: 1 ug/ml, Sample Type: Human Jurkat.

WB Suggested Anti-RIPK3 Antibody Titration: 1.25 ug/ml, ELISA Titer: 1:62500, Positive Control: Jurkat cell lysate.
Documents Download
Request a Document
Protocol Information
RIPK3 Rabbit Polyclonal Antibody (orb573829)
Participating in our Biorbyt product reviews program enables you to support fellow scientists by sharing your firsthand experience with our products.
Login to Submit a Review













