You have no items in your shopping cart.
TNNT1 Rabbit Polyclonal Antibody
Description
Research Area
Images & Validation
−| Tested Applications | WB |
|---|---|
| Reactivity | Human, Mouse |
| Predicted Reactivity | Bovine, Canine, Equine, Guinea pig, Rat, Zebrafish |
Key Properties
−| Host | Rabbit |
|---|---|
| Clonality | Polyclonal |
| Immunogen | The immunogen is a synthetic peptide directed towards the middle region of human TNNT1 |
| Target | TNNT1 |
| Protein Sequence | Synthetic peptide located within the following region: WIHQLESEKFDLMAKLKQQKYEINVLYNRISHAQKFRKGAGKGRVGGRWK |
| Molecular Weight | 33kDa |
| Purification | Affinity Purified |
| Conjugation | Unconjugated |
Storage & Handling
−| Storage | Maintain refrigerated at 2-8°C for up to 2 weeks. For long term storage store at -20°C in small aliquots to prevent freeze-thaw cycles. |
|---|---|
| Buffer/Preservatives | Liquid. Purified antibody supplied in 1x PBS buffer with 0.09% (w/v) sodium azide and 2% sucrose. |
| Concentration | 0.5 mg/ml |
| Expiration Date | 12 months from date of receipt. |
| Disclaimer | For research use only |
Alternative Names
−Similar Products
−TNNT1 rabbit pAb Antibody [orb773275]
ELISA, WB
Human, Mouse, Rat
Polyclonal
Unconjugated
100 μl, 50 μlTroponin T fast + slow skeletal muscle Rabbit Polyclonal Antibody [orb186267]
ELISA, ICC, IF, IHC-Fr, IHC-P
Bovine, Gallus, Human, Porcine, Rabbit, Sheep
Human
Rabbit
Polyclonal
Unconjugated
50 μl, 100 μl, 200 μlTNNT1 Rabbit Polyclonal Antibody [orb2950448]
ELISA, IHC, WB
Bovine, Human, Mouse, Porcine, Rat
Rabbit
Polyclonal
Unconjugated
100 μg, 50 μg

Quality Guarantee
Explore bioreagents carefree to elevate your research. All our products are rigorously tested for performance. If a product does not perform as described on its datasheet, our scientific support team will provide expert troubleshooting, a prompt replacement, or a refund. For full details, please see our Terms & Conditions and Buying Guide. Contact us at [email protected].

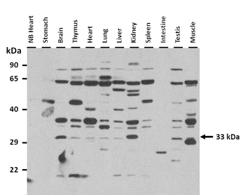
25 ug of the indicated Human whole cell or tissue extracts was loaded onto a 12% SDS-PAGE gel. 3 ug/ml of the antibody was used in this experiment.

Sample Tissue: Mouse Skeletal Muscle, Antibody Dilution: 1 ug/ml.

Positive control (+): Human Fetal Heart (HE), Negative control (-): Human Brain (BR), Antibody concentration: 1 ug/ml.

WB Suggested Anti-TNNT1 Antibody Titration: 0.2-1 ug/ml, ELISA Titer: 1:312500, Positive Control: Human Muscle.
Documents Download
Request a Document
TNNT1 Rabbit Polyclonal Antibody (orb578344)
Participating in our Biorbyt product reviews program enables you to support fellow scientists by sharing your firsthand experience with our products.
Login to Submit a Review


