You have no items in your shopping cart.
TSHR Rabbit Polyclonal Antibody
Description
Research Area
Images & Validation
−| Tested Applications | WB |
|---|---|
| Reactivity | Human |
| Predicted Reactivity | Bovine, Canine, Equine, Guinea pig, Mouse, Rabbit, Rat, Sheep |
Key Properties
−| Host | Rabbit |
|---|---|
| Clonality | Polyclonal |
| Immunogen | The immunogen is a synthetic peptide directed towards the C terminal region of human TSHR |
| Target | TSHR |
| Protein Sequence | Synthetic peptide located within the following region: KLDAVYLNKNKYLTVIDKDAFGGVYSGPSLLLPLGRKSLSFETQKAPRSS |
| Molecular Weight | 87 kDa |
| Purification | Affinity Purified |
| Conjugation | Unconjugated |
Storage & Handling
−| Storage | Maintain refrigerated at 2-8°C for up to 2 weeks. For long term storage store at -20°C in small aliquots to prevent freeze-thaw cycles. |
|---|---|
| Buffer/Preservatives | Liquid. Purified antibody supplied in 1x PBS buffer with 0.09% (w/v) sodium azide and 2% sucrose. |
| Concentration | 0.5 mg/ml |
| Expiration Date | 12 months from date of receipt. |
| Disclaimer | For research use only |
Alternative Names
−Similar Products
−TSHR Rabbit Polyclonal Antibody [orb578253]
WB
Bovine, Canine, Equine, Mouse, Rabbit, Rat, Sheep
Human
Rabbit
Polyclonal
Unconjugated
100 μlTSHR (CT) Rabbit Polyclonal Antibody [orb11529]
IF, IHC-Fr, IHC-P, WB
Bovine, Equine, Gallus, Guinea pig, Porcine, Rabbit, Rat
Human
Rabbit
Polyclonal
Unconjugated
50 μl, 100 μl, 200 μlTSHR Rabbit Polyclonal Antibody [orb578181]
WB
Bovine, Canine, Equine, Guinea pig, Mouse, Porcine, Rabbit, Rat, Sheep
Human
Rabbit
Polyclonal
Unconjugated
100 μlTSHR Rabbit Polyclonal Antibody [orb578182]
IHC, WB
Bovine, Canine, Equine, Guinea pig, Mouse, Porcine, Rabbit, Rat, Sheep
Human
Rabbit
Polyclonal
Unconjugated
100 μlTSHR Rabbit Polyclonal Antibody [orb632204]
ELISA, IF, IHC, WB
Human, Mouse, Rat
Rabbit
Polyclonal
Unconjugated
50 μg, 100 μg

Quality Guarantee
Explore bioreagents carefree to elevate your research. All our products are rigorously tested for performance. If a product does not perform as described on its datasheet, our scientific support team will provide expert troubleshooting, a prompt replacement, or a refund. For full details, please see our Terms & Conditions and Buying Guide. Contact us at [email protected].

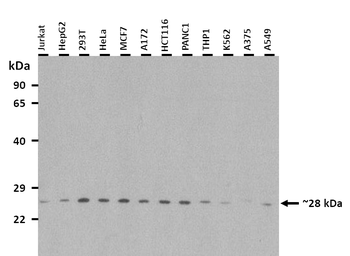
25 ug of the indicated Human whole cell extracts was loaded onto a 12% SDS-PAGE gel. 1 ug/ml of the antibody was used in this experiment. The peptide sequence is present in a 28 kDa isoform. The protein may be modified by glycosylation.

Sample Tissue: Human HepG2 Whole Cell, Antibody Dilution: 1 ug/ml.

WB Suggested Anti-TSHR Antibody Titration: 0.2-1 ug/ml, Positive Control: Jurkat cell lysate. There is BioGPS gene expression data showing that TSHR is expressed in Jurkat. The peptide sequence is present in a 28 kDa isoform.
Quick Database Links
UniProt Details
−NCBI Reference Sequences
−| Protein | NP_001018046 |
|---|
Documents Download
Request a Document
TSHR Rabbit Polyclonal Antibody (orb578254)
Participating in our Biorbyt product reviews program enables you to support fellow scientists by sharing your firsthand experience with our products.
Login to Submit a Review










