You have no items in your shopping cart.
TUBA4A Rabbit Polyclonal Antibody
Description
Research Area
Images & Validation
−| Tested Applications | IHC, IP, WB |
|---|---|
| Reactivity | Human, Mouse |
| Predicted Reactivity | Bovine, Canine, Equine, Guinea pig, Rabbit, Rat, Sheep |
Key Properties
−| Host | Rabbit |
|---|---|
| Clonality | Polyclonal |
| Immunogen | The immunogen is a synthetic peptide directed towards the middle region of human TUBA4A |
| Target | TUBA4A |
| Protein Sequence | Synthetic peptide located within the following region: YAKRAFVHWYVGEGMEEGEFSEAREDMAALEKDYEEVGIDSYEDEDEGEE |
| Molecular Weight | 50 kDa |
| Purification | Affinity Purified |
| Conjugation | Unconjugated |
Storage & Handling
−| Storage | Maintain refrigerated at 2-8°C for up to 2 weeks. For long term storage store at -20°C in small aliquots to prevent freeze-thaw cycles. |
|---|---|
| Buffer/Preservatives | Liquid. Purified antibody supplied in 1x PBS buffer with 0.09% (w/v) sodium azide and 2% sucrose. |
| Concentration | 0.5 mg/ml |
| Expiration Date | 12 months from date of receipt. |
| Disclaimer | For research use only |
Alternative Names
−Similar Products
−TUBA1C Rabbit Polyclonal Antibody [orb7128]
FC, IF, IHC-Fr, IHC-P, WB
Bovine, Canine, Equine, Mouse, Porcine, Rabbit
Human, Rat
Rabbit
Polyclonal
Unconjugated
50 μl, 200 μl, 100 μlTubulin, Alpha 4a Rabbit Polyclonal Antibody [orb500742]
WB
Bovine, Canine, Equine, Human, Porcine, Rabbit, Sheep
Mouse, Rat
Rabbit
Polyclonal
Unconjugated
100 μl, 200 μl, 50 μlAlpha-tubulin (Phospho-Y272) Rabbit Polyclonal Antibody [orb665690]
IHC, WB
Bovine, Gallus, Human, Monkey, Mouse, Rat, Zebrafish
Rabbit
Polyclonal
Unconjugated
30 μl, 100 μl, 200 μl, 50 μlTUBA1A/TUBA1B/TUBA1C/TUBA3C/TUBA3E Antibody [orb683401]
ELISA, WB
Human, Mouse
Rabbit
Polyclonal
Unconjugated
100 μlTUBA4A Rabbit Polyclonal Antibody [orb2950456]
ELISA, IHC, WB
Arachnid, Bovine, Drosophila, Fish, Gallus, Hamster, Human, Insect, Invertebrate, Mouse, Other, Porcine, Primate, Rat, Xenopus
Rabbit
Polyclonal
Unconjugated
100 μg, 50 μg

Quality Guarantee
Explore bioreagents carefree to elevate your research. All our products are rigorously tested for performance. If a product does not perform as described on its datasheet, our scientific support team will provide expert troubleshooting, a prompt replacement, or a refund. For full details, please see our Terms & Conditions and Buying Guide. Contact us at [email protected].

Sample Type: 1. Human NT-2 cells (60 ug), 2. and 3. mouse brain extracts (80 ug), 4. rat brain extract (80 ug), Primary Antibody Dilution: 2 ug/ml, Secondary Antibody: IRDye 800CW goat anti-rabbit, Secondary Antibody Dilution: 1:20000.

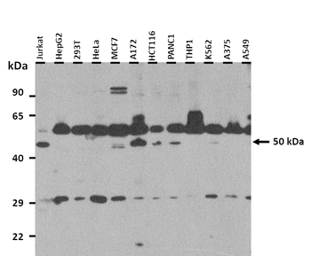
25 ug of the indicated Human whole cell extracts was loaded onto a 12% SDS-PAGE gel. 1 ug/ml of the antibody was used in this experiment. Canonical 50 kDa isoform is identified, and a second isoform of 48 kDa is also present in some samples.

Amount and Sample Type: 500 ug mouse brain homogenate, Amount of IP Antibody: 6 ug, Primary Antibody: TUBA4A, Primary Antibody Dilution: 1:500, Secondary Antibody: Goat anti-rabbit Alexa-Fluor 594, Secondary Antibody Dilution: 1:5000, Gene Name: TUBA4A.

Sample Type: Mouse brain stem cells, Primary Antibody Dilution: 1:500, Secondary Antibody: Goat anti-rabbit Alexa-Fluor 594, Secondary Antibody Dilution: 1:1000, Color/Signal Descriptions: TUBA4A: Red DAPI:Blue, Gene Name: TUBA4A.

WB Suggested Anti-TUBA4A Antibody Titration: 0.2-1 ug/ml, ELISA Titer: 1:12500, Positive Control: Human Placenta.
Documents Download
Request a Document
Protocol Information
TUBA4A Rabbit Polyclonal Antibody (orb577468)
Participating in our Biorbyt product reviews program enables you to support fellow scientists by sharing your firsthand experience with our products.
Login to Submit a Review









