You have no items in your shopping cart.
UBE3A Rabbit Polyclonal Antibody
Description
Research Area
Images & Validation
−| Tested Applications | WB |
|---|---|
| Reactivity | Human, Mouse |
| Predicted Reactivity | Bovine, Canine, Equine, Guinea pig, Rabbit, Rat, Zebrafish |
Key Properties
−| Host | Rabbit |
|---|---|
| Clonality | Polyclonal |
| Immunogen | The immunogen is a synthetic peptide directed towards the middle region of human UBE3A |
| Target | UBE3A |
| Protein Sequence | Synthetic peptide located within the following region: AKNGPDTERLPTSHTCFNVLLLPEYSSKEKLKERLLKAITYAKGFGML |
| Molecular Weight | 101kDa |
| Purification | Affinity Purified |
| Conjugation | Unconjugated |
Storage & Handling
−| Storage | Maintain refrigerated at 2-8°C for up to 2 weeks. For long term storage store at -20°C in small aliquots to prevent freeze-thaw cycles. |
|---|---|
| Buffer/Preservatives | Liquid. Purified antibody supplied in 1x PBS buffer with 0.09% (w/v) sodium azide and 2% sucrose. |
| Concentration | 0.5 mg/ml |
| Expiration Date | 12 months from date of receipt. |
| Disclaimer | For research use only |
Alternative Names
−Similar Products
−UBE3A Rabbit Polyclonal Antibody [orb623908]
ELISA, FC, IHC, WB
Human
Rabbit
Polyclonal
Unconjugated
100 μgUBE3A Rabbit Polyclonal Antibody [orb78161]
ELISA, IHC, WB
Mouse, Rat
Human
Rabbit
Polyclonal
Unconjugated
100 μgUBE3A Rabbit Polyclonal Antibody [orb632321]
ELISA, IHC, WB
Human, Mouse, Rat
Rabbit
Polyclonal
Unconjugated
50 μg, 100 μgUBE3A Rabbit Polyclonal Antibody [orb578660]
WB
Bovine, Canine, Equine, Goat, Guinea pig, Mouse, Rabbit, Rat, Yeast, Zebrafish
Human
Rabbit
Polyclonal
Unconjugated
100 μlUBE3A Rabbit Polyclonal Antibody [orb158676]
IF, IHC-Fr, IHC-P
Bovine, Canine, Equine, Mouse, Porcine, Rabbit, Rat, Sheep
Human
Rabbit
Polyclonal
Unconjugated
50 μl, 100 μl, 200 μl

Quality Guarantee
Explore bioreagents carefree to elevate your research. All our products are rigorously tested for performance. If a product does not perform as described on its datasheet, our scientific support team will provide expert troubleshooting, a prompt replacement, or a refund. For full details, please see our Terms & Conditions and Buying Guide. Contact us at [email protected].

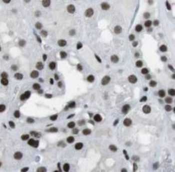
Sample Tissue: Mouse Kidney, Antibody Dilution: 1 ug/ml.

Sample Tissue: Mouse Kidney, Antibody Dilution: 1 ug/ml.

Lanes: Lane 1: 7 ug HeLa lysate+EGFP SiRNA, Lane 2: 7 ug HeLa lysate+UBE3A SiRNA, Primary Antibody Dilution: 1:300, Secondary Antibody: Anti-rabbit-HRP, Secondary Antibody Dilution: 1:500, Gene Name: UBE3A.

WB Suggested Anti-UBE3A Antibody Titration: 0.2-1 ug/ml, ELISA Titer: 1:312500, Positive Control: Hela cell lysate. UBE3A is strongly supported by BioGPS gene expression data to be expressed in Human HeLa cells.
Documents Download
Request a Document
UBE3A Rabbit Polyclonal Antibody (orb578661)
Participating in our Biorbyt product reviews program enables you to support fellow scientists by sharing your firsthand experience with our products.
Login to Submit a Review








