You have no items in your shopping cart.
Description
Research Area
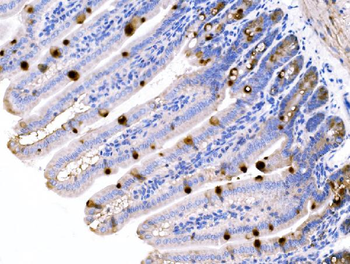
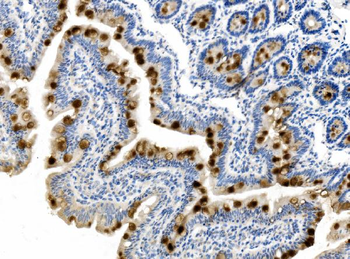
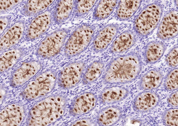
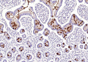
Images & Validation
−
| Tested Applications | IF, IHC |
|---|---|
| Dilution Range | Immunohistochemistry (Paraffin-embedded Section), 2-5μg/ml, Human, Mouse, Rat Immunofluorescence, 5μg/ml, Human, Mouse |
| Reactivity | Human, Mouse, Rat |
Key Properties
−| Antibody Type | Primary Antibody |
|---|---|
| Host | Rabbit |
| Clonality | Polyclonal |
| Isotype | Rabbit IgG |
| Immunogen | A synthetic peptide corresponding to a sequence at the N-terminus of human MUC2, which shares 86.1% amino acid (aa) sequence identity with both mouse and rat MUC2. |
| Target | Mucin-2 |
| Molecular Weight | 38 kDa |
| Purification | Immunogen affinity purified. |
| Conjugation | Unconjugated |
Storage & Handling
−| Storage | Maintain refrigerated at 2-8°C for up to 2 weeks. For long term storage store at -20°C in small aliquots to prevent freeze-thaw cycles. |
|---|---|
| Form/Appearance | Lyophilized |
| Buffer/Preservatives | Each vial contains 4 mg Trehalose, 0.9 mg NaCl and 0.2 mg Na2HPO4. |
| Concentration | Adding 0.2 ml of distilled water will yield a concentration of 500 μg/ml. |
| Expiration Date | 12 months from date of receipt. |
| Disclaimer | For research use only |
Alternative Names
−Similar Products
−Muc2 Rabbit Polyclonal Antibody [orb372331]
ICC, IF, IHC-P
Human, Mouse, Porcine, Rat
Rabbit
Polyclonal
Unconjugated
100 μgMUC2 Rabbit Polyclonal Antibody [orb402450]
IF, IHC
Human, Mouse, Rat
Rabbit
Polyclonal
Unconjugated
100 μgMUC2 Rabbit Polyclonal Antibody [orb1147756]
ELISA, IHC
Human, Mouse, Rat
Rabbit
Polyclonal
Unconjugated
100 μgMUC2 Rabbit Polyclonal Antibody [orb1152055]
ICC, IF, IHC-Fr, IHC-P, WB
Human
Rabbit
Polyclonal
Unconjugated
100 μl, 50 μl

Quality Guarantee
Explore bioreagents carefree to elevate your research. All our products are rigorously tested for performance. If a product does not perform as described on its datasheet, our scientific support team will provide expert troubleshooting, a prompt replacement, or a refund. For full details, please see our Terms & Conditions and Buying Guide. Contact us at [email protected].
Quick Database Links
UniProt Details
−Documents Download
Request a Document
Protocol Information
MUC2 Rabbit Polyclonal Antibody (orb3114945)
Participating in our Biorbyt product reviews program enables you to support fellow scientists by sharing your firsthand experience with our products.
Login to Submit a Review


























