You have no items in your shopping cart.
WWTR1 Rabbit Polyclonal Antibody
Description
Research Area
Images & Validation
−| Tested Applications | WB |
|---|---|
| Reactivity | Human, Mouse |
| Predicted Reactivity | Bovine, Canine, Guinea pig, Rabbit, Rat |
Key Properties
−| Host | Rabbit |
|---|---|
| Clonality | Polyclonal |
| Immunogen | The immunogen is a synthetic peptide directed towards the N terminal region of human WWTR1 |
| Target | WWTR1 |
| Protein Sequence | Synthetic peptide located within the following region: PRLAGGAQHVRSHSSPASLQLGTGAGAAGSPAQQHAHLRQQSYDVTDELP |
| Molecular Weight | 44 kDa |
| Purification | Affinity Purified |
| Conjugation | Unconjugated |
Storage & Handling
−| Storage | Maintain refrigerated at 2-8°C for up to 2 weeks. For long term storage store at -20°C in small aliquots to prevent freeze-thaw cycles. |
|---|---|
| Buffer/Preservatives | Liquid. Purified antibody supplied in 1x PBS buffer with 0.09% (w/v) sodium azide and 2% sucrose. |
| Concentration | 0.5 mg/ml |
| Expiration Date | 12 months from date of receipt. |
| Disclaimer | For research use only |
Alternative Names
−Similar Products
−TAZ Rabbit Polyclonal Antibody [orb158573]
FC, IF, IHC-Fr, IHC-P, WB
Mouse, Rat
Human, Mouse, Rat
Rabbit
Polyclonal
Unconjugated
200 μl, 50 μl, 100 μlWWTR1 Rabbit Polyclonal Antibody [orb631731]
ELISA, IHC, IP, WB
Human, Mouse, Rat
Rabbit
Polyclonal
Unconjugated
50 μg, 100 μgWWTR1 Rabbit Polyclonal Antibody [orb2954653]
ELISA, IHC, WB
Canine, Human, Mouse
Rabbit
Polyclonal
Unconjugated
50 μg, 100 μg

Quality Guarantee
Explore bioreagents carefree to elevate your research. All our products are rigorously tested for performance. If a product does not perform as described on its datasheet, our scientific support team will provide expert troubleshooting, a prompt replacement, or a refund. For full details, please see our Terms & Conditions and Buying Guide. Contact us at [email protected].

25 ug of the indicated Human whole cell extracts was loaded onto a 12% SDS-PAGE gel. 1 ug/ml of the antibody was used in this experiment. Canonical 50 kDa isoform is identified.

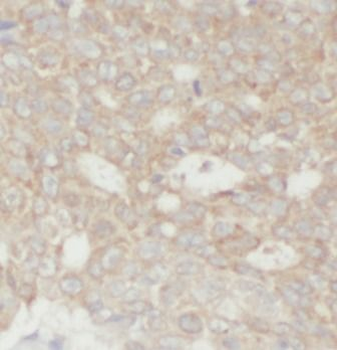
Sample Tissue: Mouse Kidney, Antibody dilution: 1 ug/ml.

Sample Tissue: Human HepG2, Antibody dilution: 1.0 ug/ml.

Sample Tissue: Mouse Small Intestine, Antibody dilution: 0.5 ug/ml.

Sample Type: HepG2 Whole Cell lysates, Antibody dilution: 1.0 ug/ml.

Sample Type: Lane 1: HEK293 overexpressing WWTR1, Lane 2: Non-overexpressed vector control lysate, Lane 3: Human heart, Antibody dilution: 1.0 ug/ml.

Positive control (+): Mouse brain (M-BR), Negative control (-): Mouse intestine (M-IN), Antibody concentration: 1 ug/ml.

Surface Plasmon Resonance Kinetic Characterization of Polyclonal Antibody Affinity. Purified polyclonal antibodies were immobilized on a Protein A/G coated Carterra LSA sensor chip (PAGH200M) at concentrations of 5, and 50 ug/ml in duplicate. Antibodies on the surface were exposed to interaction with peptides sequentially via microfluidic controlled flow at 333nM peptide concentration for kinetic characterization of the binders for affinity and specificity, followed by curve fitting using the Kinetics software. Kd determinations for both concentrations were averaged and results and standard deviation are shown.

WB Suggested Anti-WWTR1 Antibody Titration: 0.2-1 ug/ml, Positive Control: HepG2 cell lysate.
Documents Download
Request a Document
WWTR1 Rabbit Polyclonal Antibody (orb574257)
Participating in our Biorbyt product reviews program enables you to support fellow scientists by sharing your firsthand experience with our products.
Login to Submit a Review










