You have no items in your shopping cart.
YWHAE Rabbit Polyclonal Antibody
Description
Research Area
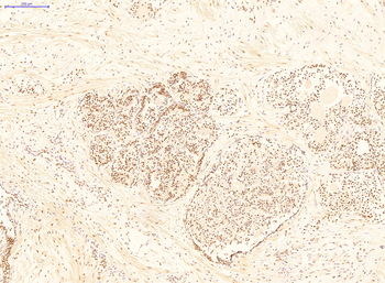
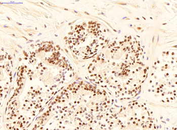
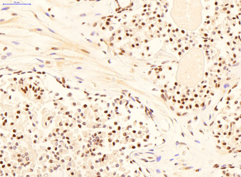
Images & Validation
−| Tested Applications | WB |
|---|---|
| Reactivity | Human |
| Predicted Reactivity | Canine, Guinea pig, Mouse, Zebrafish |
Key Properties
−| Host | Rabbit |
|---|---|
| Clonality | Polyclonal |
| Immunogen | The immunogen is a synthetic peptide directed towards the middle region of human YWHAE |
| Target | YWHAE |
| Protein Sequence | Synthetic peptide located within the following region: ELDTLSEESYKDSTLIMQLLRDNLTLWTSDMQGDGEEQNKEALQDVEDEN |
| Molecular Weight | 29kDa |
| Purification | Affinity Purified |
| Conjugation | Unconjugated |
Storage & Handling
−| Storage | Maintain refrigerated at 2-8°C for up to 2 weeks. For long term storage store at -20°C in small aliquots to prevent freeze-thaw cycles. |
|---|---|
| Buffer/Preservatives | Liquid. Purified antibody supplied in 1x PBS buffer with 0.09% (w/v) sodium azide and 2% sucrose. |
| Concentration | 0.5 mg/ml |
| Expiration Date | 12 months from date of receipt. |
| Disclaimer | For research use only |
Alternative Names
−Similar Products
−YWHAE Rabbit Polyclonal Antibody [orb1184696]
ELISA, ICC, IF, IHC, WB
Human, Mouse, Rat
Rabbit
Polyclonal
Unconjugated
100 μg14-3-3 epsilon Rabbit Polyclonal Antibody [orb6357]
IF, IHC-Fr, IHC-P, WB
Bovine, Gallus, Rabbit, Sheep
Human, Mouse, Rat
Rabbit
Polyclonal
Unconjugated
50 μl, 100 μl, 200 μl14-3-3 ε rabbit pAb Antibody [orb764416]
ELISA, IF, IHC, WB
Human, Mouse, Rat
Polyclonal
Unconjugated
100 μl, 50 μlYWHAE Rabbit Polyclonal Antibody [orb573662]
IHC, WB
Bovine, Equine, Guinea pig, Mouse, Rabbit, Rat, Sheep, Zebrafish
Human
Rabbit
Polyclonal
Unconjugated
100 μlYWHAE Rabbit Polyclonal Antibody [orb669147]
ELISA, FC, ICC, IF, IHC, WB
Human, Mouse, Rat
Rabbit
Polyclonal
Unconjugated
100 μg

Quality Guarantee
Explore bioreagents carefree to elevate your research. All our products are rigorously tested for performance. If a product does not perform as described on its datasheet, our scientific support team will provide expert troubleshooting, a prompt replacement, or a refund. For full details, please see our Terms & Conditions and Buying Guide. Contact us at [email protected].

Sample Type: 1. Human NT-2 cells (60 ug), 2. mouse brain extracts (80 ug), Primary Antibody Dilution: 2 ug/ml, Secondary Antibody: IRDye 800CW goat anti-rabbit, Secondary Antibody Dilution: 1:20000.

WB Suggested Anti-YWHAE Antibody Titration: 0.2-1 ug/ml, ELISA Titer: 1:12500, Positive Control: Human Spleen.
Documents Download
Request a Document
YWHAE Rabbit Polyclonal Antibody (orb592680)
Participating in our Biorbyt product reviews program enables you to support fellow scientists by sharing your firsthand experience with our products.
Login to Submit a Review



















