You have no items in your shopping cart.
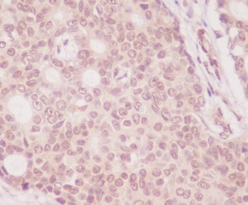
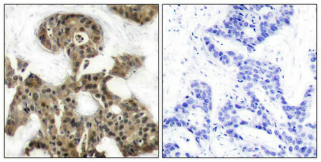
Anti-EIF4EBP1 Antibody
Description
Images & Validation
−
| Tested Applications | FC, IHC, WB |
|---|---|
| Reactivity | Human, Mouse, Rat |
| Application Notes |
Key Properties
−| Antibody Type | Primary Antibody |
|---|---|
| Host | Rabbit |
| Clonality | Polyclonal |
| Isotype | Rabbit IgG |
| Immunogen | A synthetic peptide corresponding to a sequence at the C-terminus of human EIF4EBP1, which shares 75% and 81.2% amino acid (aa) sequence identity with mouse and rat EIF4EBP1, respectively. |
| Molecular Weight | 17 kDa |
| Purification | Immunogen affinity purified. |
| Conjugation | iFluor647 |
Storage & Handling
−| Storage | At -20°C for one year from date of receipt. After reconstitution, at 4°C for one month. It can also be aliquotted and stored frozen at -20°C for six months. Avoid repeated freezing and thawing. |
|---|---|
| Form/Appearance | Lyophilized |
| Concentration | Adding 0.2 ml of distilled water will yield a concentration of 500 μg/ml. |
| Disclaimer | For research use only |
Alternative Names
−Similar Products
−4E-BP1 (phospho Thr69) rabbit pAb [orb767260]
ELISA, IHC-P, WB
Mouse, Rat
Polyclonal
Unconjugated
50 μl, 100 μl4E-BP1 (phospho Thr46) rabbit pAb [orb767952]
ELISA, IHC-P, WB
Human, Mouse, Rat
Polyclonal
Unconjugated
50 μl, 100 μleIF4EBP1/4Ebp1 Rabbit Monoclonal Antibody [orb547551]
FC, ICC, IF, IHC, IP, WB
Human, Mouse, Rat
Rabbit
Monoclonal
Unconjugated
100 μlEIF4EBP1 (Ab-45) Antibody [orb685364]
ELISA, IF, IHC, WB
Human, Mouse, Rat
Rabbit
Polyclonal
Unconjugated
100 μl

Quality Guarantee
Explore bioreagents carefree to elevate your research. All our products are rigorously tested for performance. If a product does not perform as described on its datasheet, our scientific support team will provide expert troubleshooting, a prompt replacement, or a refund. For full details, please see our Terms & Conditions and Buying Guide. Contact us at [email protected].
Quick Database Links
UniProt Details
−Documents Download
Request a Document
Protocol Information
Anti-EIF4EBP1 Antibody (orb2600135)
Participating in our Biorbyt product reviews program enables you to support fellow scientists by sharing your firsthand experience with our products.
Login to Submit a Review














