You have no items in your shopping cart.
CtIP rabbit pAb
Description
Images & Validation
−| Tested Applications | ELISA, IHC-P |
|---|---|
| Dilution range | Immunohistochemistry: 1/100 - 1/300. ELISA: 1/5000. Not yet tested in other applications. |
| Reactivity | Human, Mouse |
Key Properties
−| Clonality | Polyclonal |
|---|---|
| Isotype | IgG |
| Immunogen | The antiserum was produced against synthesized peptide derived from human RBBP8. AA range:630-679 |
| Molecular Weight | 102kD |
| Purification | The antibody was affinity-purified from rabbit antiserum by affinity-chromatography using epitope-specific immunogen. |
| Conjugation | Unconjugated |
Storage & Handling
−| Storage | Maintain refrigerated at 2-8°C for up to 2 weeks. For long term storage store at -20°C in small aliquots to prevent freeze-thaw cycles. |
|---|---|
| Buffer/Preservatives | PBS with 0.02% sodium azide and 50% glycerol pH 7.4. |
| Concentration | 1 mg/ml |
| Disclaimer | For research use only |
Alternative Names
−Similar Products
−CtIP Rabbit pAb, AE conjugated [orb2853148]
ELISA
Gallus, Human, Mouse, Porcine, Rat
Rabbit
Polyclonal
AE
100 μlCtIP Rabbit pAb, PerCP-Cy7 conjugated [orb2853149]
IF
Gallus, Human, Mouse, Porcine, Rat
Rabbit
Polyclonal
PerCP/Cy7
100 μlCtIP Rabbit pAb, Pacific Blue conjugated [orb2853150]
IF
Gallus, Human, Mouse, Porcine, Rat
Rabbit
Polyclonal
Pacific Blue
100 μl

Quality Guarantee
Explore bioreagents carefree to elevate your research. All our products are rigorously tested for performance. If a product does not perform as described on its datasheet, our scientific support team will provide expert troubleshooting, a prompt replacement, or a refund. For full details, please see our Terms & Conditions and Buying Guide. Contact us at [email protected].

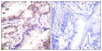
Immunohistochemistry analysis of paraffin-embedded human thyroid gland tissue, using RBBP8 Antibody. The picture on the right is blocked with the synthesized peptide.
Quick Database Links
Protocol Information
CtIP rabbit pAb (orb769884)
Participating in our Biorbyt product reviews program enables you to support fellow scientists by sharing your firsthand experience with our products.
Login to Submit a Review
