You have no items in your shopping cart.
HMGB3 Antibody
Description
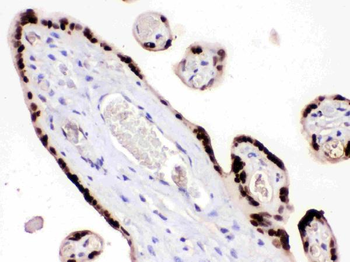
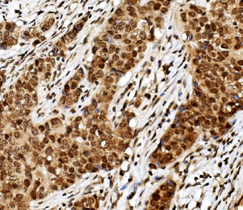
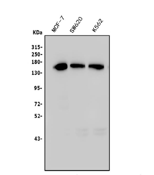
Images & Validation
−
| Tested Applications | ELISA, WB |
|---|---|
| Reactivity | A. thaliana |
| Application Notes |
Key Properties
−| Host | Rabbit |
|---|---|
| Clonality | Polyclonal |
| Isotype | IgG |
| Immunogen | A synthesized peptide derived from Escherichia coli O45:K1 (strain S88 / ExPEC) mdtD. |
| Target | HMGB3 |
| Purification | Antigen Affinity |
| Conjugation | Unconjugated |
Storage & Handling
−| Storage | Maintain refrigerated at 2-8°C for up to 2 weeks. For long term storage store at -20°C in small aliquots to prevent freeze-thaw cycles. |
|---|---|
| Form/Appearance | Liquid |
| Buffer/Preservatives | Preservative: 0.03% Proclin 300. Constituents: 50% Glycerol |
| Disclaimer | For research use only |
Alternative Names
−Similar Products
−Aconitase 2 Antibody (monoclonal, 4C12D1) [orb1184737]
IHC, WB
Human, Mouse, Rat
Mouse
Monoclonal
Unconjugated
100 μgGSDMD Antibody (monoclonal, 6D11) [orb763146]
FC, ICC, IF, IHC, WB
Human
Mouse
Monoclonal
Unconjugated
100 μgHMG4/HMGB3 Antibody [orb315141]
FC, ICC, IF, IHC, WB
Human, Mouse, Rat
Rabbit
Polyclonal
Unconjugated
100 μgTIF1 gamma/TRIM33 Antibody (monoclonal, 8I8) [orb654390]
FC, ICC, IF, IHC, WB
Human
Mouse
Monoclonal
Unconjugated
100 μgGAD65/GAD2 Antibody (monoclonal, 7G2) [orb654392]
FC, ICC, IF, IHC, WB
Human, Mouse, Rat
Mouse
Monoclonal
Unconjugated
100 μg

Quality Guarantee
Explore bioreagents carefree to elevate your research. All our products are rigorously tested for performance. If a product does not perform as described on its datasheet, our scientific support team will provide expert troubleshooting, a prompt replacement, or a refund. For full details, please see our Terms & Conditions and Buying Guide. Contact us at [email protected].
Quick Database Links
UniProt Details
−Documents Download
Request a Document
Protocol Information
HMGB3 Antibody (orb791006)
Participating in our Biorbyt product reviews program enables you to support fellow scientists by sharing your firsthand experience with our products.
Login to Submit a Review




























