You have no items in your shopping cart.
HTRA2 Antibody
Description
Images & Validation
−| Tested Applications | ELISA, IHC, IP, WB |
|---|---|
| Dilution range | WB: 1:500-1:2000; IP: 1:500-1:1000; IHC: 1:20-1:200 |
| Reactivity | Human, Monkey, Mouse, Rat |
Key Properties
−| Antibody Type | Primary Antibody |
|---|---|
| Host | Rabbit |
| Clonality | Polyclonal |
| Isotype | IgG |
| Immunogen | HtrA serine peptidase 2 |
| Target | HTRA2 |
| Molecular Weight | 36 kDa |
| Purity | ≥95% as determined by SDS-PAGE |
| Purification | Immunogen affinity purified |
| Conjugation | Unconjugated |
Storage & Handling
−| Storage | Maintain refrigerated at 2-8°C for up to 2 weeks. For long term storage store at -20°C in small aliquots to prevent freeze-thaw cycles. |
|---|---|
| Form/Appearance | liquid |
| Disclaimer | For research use only |
Alternative Names
−Similar Products
−HTRA2 Rabbit Polyclonal Antibody [orb10854]
ICC, IF, IHC-Fr, IHC-P, WB
Bovine, Canine, Rabbit
Human, Mouse, Rat
Rabbit
Polyclonal
Unconjugated
200 μl, 100 μl, 50 μl

Quality Guarantee
Explore bioreagents carefree to elevate your research. All our products are rigorously tested for performance. If a product does not perform as described on its datasheet, our scientific support team will provide expert troubleshooting, a prompt replacement, or a refund. For full details, please see our Terms & Conditions and Buying Guide. Contact us at [email protected].

HEK-293 cells were subjected to SDS PAGE followed by western blot with orb627869 (HTRA2 antibody) at dilution of 1:2000.

IP Result of anti-HTRA2 (IP: orb627869, 4 ug; Detection: orb627869 1:500) with Raji cells lysate 2000 ug.

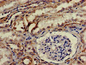
Immunohistochemistry of paraffin-embedded human kidney using orb627869 (HTRA2 antibody) at dilution of 1:100.
Quick Database Links
UniProt Details
−Documents Download
Request a Document
Protocol Information
HTRA2 Antibody (orb627869)
Participating in our Biorbyt product reviews program enables you to support fellow scientists by sharing your firsthand experience with our products.
Login to Submit a Review















