You have no items in your shopping cart.
OCT2 Mouse Monoclonal Antibody
Description
Images & Validation
−| Tested Applications | IF, IHC-Fr, IHC-P |
|---|---|
| Dilution range | IHC-P=1:100-500, IF=1:100-500, IHC-F=1:100-500 |
| Reactivity | Human, Mouse |
| Predicted Reactivity | Mouse |
Key Properties
−| Antibody Type | Primary Antibody |
|---|---|
| Host | Mouse |
| Clonality | Monoclonal |
| Isotype | IgG2b, Kappa |
| Clone No. | 13C4 |
| Immunogen | KLH conjugated synthetic peptide derived from human OCT2 |
| Target | POU2F2 |
| Molecular Weight | 51 kDa |
| Purification | Affinity purified by Protein A |
| Conjugation | Unconjugated |
Storage & Handling
−| Storage | Maintain refrigerated at 2-8°C for up to 2 weeks. For long term storage store at -20°C in small aliquots to prevent freeze-thaw cycles. |
|---|---|
| Form/Appearance | Liquid |
| Buffer/Preservatives | Liquid in PBS containing 50% Glycerol, 0.5% rAlbumin and 0.02% Proclin300. |
| Concentration | 1mg/ml |
| Disclaimer | For research use only |
Alternative Names
−Similar Products
−OCT2 (ready to use) Mouse Monoclonal Antibody [orb544585]
ICC, IF, IHC-Fr, IHC-P
Human
Mouse
Monoclonal
Unconjugated
3 ml, 6 ml

Quality Guarantee
Explore bioreagents carefree to elevate your research. All our products are rigorously tested for performance. If a product does not perform as described on its datasheet, our scientific support team will provide expert troubleshooting, a prompt replacement, or a refund. For full details, please see our Terms & Conditions and Buying Guide. Contact us at [email protected].

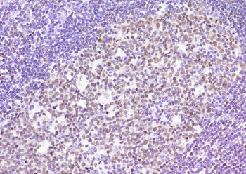
Paraformaldehyde-fixed, paraffin embedded (human tonsil), Antigen retrieval by boiling in sodium citrate buffer (pH6.0) for 15 min, Block endogenous peroxidase by 3% hydrogen peroxide for 20 minutes, Blocking buffer (normal goat serum) at 37°C for 30 min, Incubation with (2-Oct) Monoclonal Antibody, Unconjugated (orb1816755) at 1:100 overnight at 4°C, followed by operating according to SP Kit (Mouse) instructionsand DAB staining.

Paraformaldehyde-fixed, paraffin embedded (mouse lymphoid), Antigen retrieval by boiling in sodium citrate buffer (pH6.0) for 15 min, Block endogenous peroxidase by 3% hydrogen peroxide for 20 minutes, Blocking buffer (normal goat serum) at 37°C for 30 min, Incubation with (2-Oct) Monoclonal Antibody, Unconjugated (orb1816755) at 1:100 overnight at 4°C, followed by operating according to SP Kit (Mouse) instructionsand DAB staining.

Paraformaldehyde-fixed, paraffin embedded (mouse spleen), Antigen retrieval by boiling in sodium citrate buffer (pH6.0) for 15 min, Block endogenous peroxidase by 3% hydrogen peroxide for 20 minutes, Blocking buffer (normal goat serum) at 37°C for 30 min, Incubation with (2-Oct) Monoclonal Antibody, Unconjugated (orb1816755) at 1:100 overnight at 4°C, followed by operating according to SP Kit (Mouse) instructionsand DAB staining.
Quick Database Links
UniProt Details
−Documents Download
Request a Document
Protocol Information
OCT2 Mouse Monoclonal Antibody (orb1816755)
Participating in our Biorbyt product reviews program enables you to support fellow scientists by sharing your firsthand experience with our products.
Login to Submit a Review
