You have no items in your shopping cart.
p95 NBS1 Antibody
Description
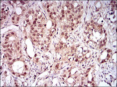
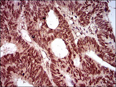
Images & Validation
−| Tested Applications | IHC, WB |
|---|---|
| Dilution range | WB 1:2000, IHC 1:150 |
| Reactivity | Human |
Key Properties
−| Antibody Type | Primary Antibody |
|---|---|
| Host | Mouse |
| Clonality | Monoclonal |
| Isotype | IgG2a |
| Clone No. | OTI3A9 |
| Immunogen | Human recombinant protein fragment corresponding to amino acids 461-754 of human NBN (NP_002476) produced in E.coli. |
| Target | p95 NBS1 |
| Molecular Weight | 84.8 kDa |
| Conjugation | Unconjugated |
Storage & Handling
−| Storage | Maintain refrigerated at 2-8°C for up to 2 weeks. For long term storage store at -20°C in small aliquots to prevent freeze-thaw cycles. |
|---|---|
| Disclaimer | For research use only |
Similar Products
−p95 NBS1/NBN Antibody [orb312141]
ICC, IF, IHC, WB
Human, Mouse, Rat
Rabbit
Polyclonal
Unconjugated
100 μgNestin antibody [orb251614]
ELISA, ICC, IF, IHC-P
Human, Mouse, Rat
Rabbit
Polyclonal
Unconjugated
100 μg

Quality Guarantee
Explore bioreagents carefree to elevate your research. All our products are rigorously tested for performance. If a product does not perform as described on its datasheet, our scientific support team will provide expert troubleshooting, a prompt replacement, or a refund. For full details, please see our Terms & Conditions and Buying Guide. Contact us at [email protected].

Western blot analysis of HEK293T cells were transfected with the pCMV6-ENTRY control (Left lane) or pCMV6-ENTRY NBN ( Right lane) using p95 NBS1 (NBN) antibody
Documents Download
Request a Document
Protocol Information
p95 NBS1 Antibody (orb1318822)
Participating in our Biorbyt product reviews program enables you to support fellow scientists by sharing your firsthand experience with our products.
Login to Submit a Review







































