You have no items in your shopping cart.
Rabbit anti-BTF3 Antibody
Description
Images & Validation
−| Tested Applications | IHC, IP |
|---|---|
| Dilution range | WB - Not recommended.; IP - 10 µg/mg lysate; IHC - 1:500 - 1:2,000. Epitope retrieval with citrate buffer pH 6.0 is recommended for FFPE tissue sections. |
| Reactivity | Human |
| Application Notes |
Key Properties
−| Antibody Type | Primary Antibody |
|---|---|
| Host | Rabbit |
| Clonality | Polyclonal |
| Immunogen | Between 1 and 50 |
| Target | BTF3 |
| Conjugation | Unconjugated |
Storage & Handling
−| Storage | 2 - 8°C |
|---|---|
| Form/Appearance | Whole IgG |
| Buffer/Preservatives | Tris-citrate/phosphate buffer, pH 7 to 8 containing 0.09% Sodium Azide |
| Concentration | 1000 µg/ml |
| Disclaimer | For research use only |
Alternative Names
−Similar Products
−
Quality Guarantee
Explore bioreagents carefree to elevate your research. All our products are rigorously tested for performance. If a product does not perform as described on its datasheet, our scientific support team will provide expert troubleshooting, a prompt replacement, or a refund. For full details, please see our Terms & Conditions and Buying Guide. Contact us at [email protected].

Detection of human BTF3 by western blot of immunoprecipitates. Samples: Whole cell lysate (1 mg for IP, 20% of IP loaded) from HeLa cells. Antibodies: Affinity purified rabbit anti-BTF3 antibody orb1526837 used for IP at 10 µg/mg lysate.

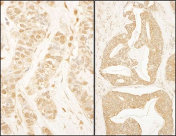
Detection of human BTF3 by immunohistochemistry.Sample: FFPE section of human breast carcinoma (left) and human prostate carcinoma (right). Antibody: Affinity purified rabbit anti-BTF3 (Cat. No. orb1526837) used at a dilution of 1: 1, 000 (1µg/ml). Detection: DAB
Quick Database Links
UniProt Details
−NCBI Reference Sequences
−| Protein | NP_001032726.1 |
|---|
Documents Download
Request a Document
Protocol Information
Rabbit anti-BTF3 Antibody (orb1526837)
Participating in our Biorbyt product reviews program enables you to support fellow scientists by sharing your firsthand experience with our products.
Login to Submit a Review

