You have no items in your shopping cart.
Rabbit anti-GNL3 Antibody
Description
Images & Validation
−| Tested Applications | IHC, IP, WB |
|---|---|
| Dilution range | WB - 1:2,000 - 1:10,000; IP - 2 - 10 µg/mg lysate; IHC - 1:100 to 1:500. Epitope retrieval with citrate buffer pH6.0 is recommended for FFPE tissue sections. |
| Reactivity | Human, Mouse |
| Application Notes |
Key Properties
−| Antibody Type | Primary Antibody |
|---|---|
| Host | Rabbit |
| Clonality | Polyclonal |
| Immunogen | Between 499 and C-terminus |
| Target | GNL3 |
Storage & Handling
−| Storage | 2 - 8°C |
|---|---|
| Form/Appearance | Whole IgG |
| Buffer/Preservatives | Tris-buffered Saline containing 0.1% rAlbumin and 0.09% Sodium Azide |
| Concentration | 200 µg/ml |
| Disclaimer | For research use only |
Alternative Names
−Similar Products
−
Quality Guarantee
Explore bioreagents carefree to elevate your research. All our products are rigorously tested for performance. If a product does not perform as described on its datasheet, our scientific support team will provide expert troubleshooting, a prompt replacement, or a refund. For full details, please see our Terms & Conditions and Buying Guide. Contact us at [email protected].

Detection of mouse GNL3 by western blot.Samples:Whole cell lysate from TMCK-1 and NIH 3T3 cells. Antibody: Affinity purified rabbit anti-GNL3 antibody orb1529929 at 0.1 µg/ml.

Detection of human GNL3 by western blot.Samples:Whole cell lysate from HeLa, HEK293T, and Jurkat cells. Antibody: Affinity purified rabbit anti-GNL3 antibody orb1529929 at 0.04 µg/ml.

Detection of mouse GNL3 by immunohistochemistry. Sample: FFPE section of mouse CT26 colon carcinoma. Antibody: Affinity purified rabbit anti-GNL3 used at a dilution of 1:200 (1µg/ml).

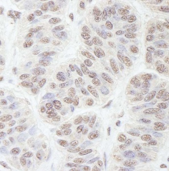
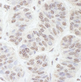
Detection of human GNL3 by immunohistochemistry. Sample: FFPE section of human breast carcinoma. Antibody: Affinity purified rabbit anti-GNL3 used at a dilution of 1:200 (1µg/ml).

Detection of human GNL3 by western blot of immunoprecipitates.Samples:Whole cell lysate from HEK293T cells. Antibodies: Affinity purified rabbit anti-GNL3 antibody.
Quick Database Links
UniProt Details
−NCBI Reference Sequences
−| Protein | NP_055181.3 |
|---|
Documents Download
Request a Document
Protocol Information
Rabbit anti-GNL3 Antibody (orb1529929)
Participating in our Biorbyt product reviews program enables you to support fellow scientists by sharing your firsthand experience with our products.
Login to Submit a Review








