You have no items in your shopping cart.
Rabbit anti-RanGAP1 Antibody
Description
Images & Validation
−| Tested Applications | IHC, IP, WB |
|---|---|
| Dilution range | WB - 1:2,000 - 1:10,000; IP - 2 - 10 µg/mg lysate; IHC - 1:500 - 1:2,000. Epitope retrieval with Tris-EDTA pH 9.0 is recommended for FFPE tissue sections. |
| Reactivity | Human |
| Application Notes |
Key Properties
−| Antibody Type | Primary Antibody |
|---|---|
| Host | Rabbit |
| Clonality | Polyclonal |
| Immunogen | Between 100 and 150 |
| Target | RanGAP1 |
| Conjugation | Unconjugated |
Storage & Handling
−| Storage | 2 - 8°C |
|---|---|
| Form/Appearance | Whole IgG |
| Buffer/Preservatives | Tris-citrate/phosphate buffer, pH 7 to 8 containing 0.09% Sodium Azide |
| Concentration | 1000 µg/ml |
| Disclaimer | For research use only |
Alternative Names
−Similar Products
−RanGAP1 polyclonal antibody [orb648672]
WB
Human, Mouse
Rabbit
Polyclonal
Unconjugated
200 μl, 100 μl, 50 μl

Quality Guarantee
Explore bioreagents carefree to elevate your research. All our products are rigorously tested for performance. If a product does not perform as described on its datasheet, our scientific support team will provide expert troubleshooting, a prompt replacement, or a refund. For full details, please see our Terms & Conditions and Buying Guide. Contact us at [email protected].

Detection of human and mouse RanGAP1 by western blot. Samples: Whole cell lysate (50 µg) from HeLa, HEK293T, Jurkat, mouse TCMK-1, and mouse NIH 3T3 cells prepared using NETN lysis buffer. Antibodies: Affinity purified rabbit anti-RanGAP1 antibody orb1527368 used for WB at 0.1 µg/ml. Detection: Chemiluminescence with an exposure time of 30 seconds.

Detection of human RanGAP1 by western blot of immunoprecipitates. Samples: Whole cell lysate (0.5 or 1.0 mg per IP reaction; 20% of IP loaded) from HeLa cells prepared using NETN lysis buffer. Antibodies: Affinity purified rabbit anti-RanGAP1 antibody orb1527368 used for IP at 6 µg per reaction.

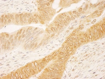
Detection of human RanGAP1 by immunohistochemistry. Samples: FFPE sections of human prostate carcinoma. Antibody: Affinity purified rabbit anti-RanGAP1 Cat. No. orb1527368 (left) and orb1527367 (right) used at a dilution of 1: 1, 000 (1µg/ml). Detection: DAB
Quick Database Links
UniProt Details
−NCBI Reference Sequences
−| Protein | NP_002874.1 |
|---|
Documents Download
Request a Document
Protocol Information
Rabbit anti-RanGAP1 Antibody (orb1527368)
Participating in our Biorbyt product reviews program enables you to support fellow scientists by sharing your firsthand experience with our products.
Login to Submit a Review






