You have no items in your shopping cart.
Rabbit anti-THRAP3/TRAP150 Antibody
Description
Images & Validation
−| Tested Applications | IHC, IP, WB |
|---|---|
| Dilution range | WB - 1:2,000 - 1:10,000; IP - 2 - 5 µg/mg lysate; IHC - 1:500 - 1:2,000. Epitope retrieval with citrate buffer pH 6.0 is recommended for FFPE tissue sections. |
| Reactivity | Human |
| Application Notes |
Key Properties
−| Antibody Type | Primary Antibody |
|---|---|
| Host | Rabbit |
| Clonality | Polyclonal |
| Immunogen | Between 905 and C-terminus |
| Target | THRAP3/TRAP150 |
| Conjugation | Unconjugated |
Storage & Handling
−| Storage | 2 - 8°C |
|---|---|
| Form/Appearance | Whole IgG |
| Buffer/Preservatives | Tris-buffered Saline containing 0.1% rAlbumin and 0.09% Sodium Azide |
| Concentration | 200 µg/ml |
| Disclaimer | For research use only |
Alternative Names
−Similar Products
−Rabbit anti-THRAP3/TRAP150 Antibody [orb1529329]
IP, WB
Human, Mouse
Rabbit
Polyclonal
Unconjugated
10 μgRabbit anti-THRAP3/TRAP150 Antibody [orb1529330]
IP, WB
Human, Mouse
Rabbit
Polyclonal
Unconjugated
100 μg

Quality Guarantee
Explore bioreagents carefree to elevate your research. All our products are rigorously tested for performance. If a product does not perform as described on its datasheet, our scientific support team will provide expert troubleshooting, a prompt replacement, or a refund. For full details, please see our Terms & Conditions and Buying Guide. Contact us at [email protected].

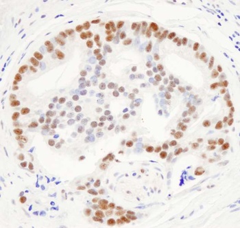
Detection of human THRAP3/TRAP150 by immunohistochemistry. Sample: FFPE section of human prostate carcinoma. Antibody: Affinity purified rabbit anti-THRAP3/TRAP150 used at a dilution of 1:1, 000 (0.2µg/ml).

Detection of human THRAP3/TRAP150 by WB and IP.Samples: HeLa cells. Antibodies: Affinity purified rabbit anti-THRAP3/TRAP150 antibody orb1529327 used for WB at 0.04 µg/ml (A) and 0.1 µg/ml (B) and used for IP at 3 µg/mg lysate (B).
Quick Database Links
UniProt Details
−NCBI Reference Sequences
−| Protein | NP_005110.1 |
|---|
Documents Download
Request a Document
Protocol Information
Rabbit anti-THRAP3/TRAP150 Antibody (orb1529327)
Participating in our Biorbyt product reviews program enables you to support fellow scientists by sharing your firsthand experience with our products.
Login to Submit a Review



