You have no items in your shopping cart.
ADH4 Rabbit Polyclonal Antibody
Description
Research Area
Images & Validation
−| Tested Applications | IHC, WB |
|---|---|
| Reactivity | Human |
| Predicted Reactivity | Human |
Key Properties
−| Host | Rabbit |
|---|---|
| Clonality | Polyclonal |
| Immunogen | The immunogen is a synthetic peptide directed towards the middle region of human ADH4 |
| Target | ADH4 |
| Protein Sequence | Synthetic peptide located within the following region: PLTNLCGKISNLKSPASDQQLMEDKTSRFTCKGKPVYHFFGTSTFSQYTV |
| Molecular Weight | 40kDa |
| Purification | Affinity Purified |
| Conjugation | Unconjugated |
Storage & Handling
−| Storage | Maintain refrigerated at 2-8°C for up to 2 weeks. For long term storage store at -20°C in small aliquots to prevent freeze-thaw cycles. |
|---|---|
| Buffer/Preservatives | Liquid. Purified antibody supplied in 1x PBS buffer with 0.09% (w/v) sodium azide and 2% sucrose. |
| Concentration | 0.5 mg/ml |
| Expiration Date | 12 months from date of receipt. |
| Disclaimer | For research use only |
Alternative Names
−Similar Products
−ADH4 Rabbit Polyclonal Antibody [orb578874]
IHC, WB
Bovine, Canine, Porcine, Rabbit, Rat
Human
Rabbit
Polyclonal
Unconjugated
100 μlAdh7 Rabbit Polyclonal Antibody [orb330203]
WB
Human, Porcine, Rat
Mouse
Rabbit
Polyclonal
Unconjugated
100 μl

Quality Guarantee
Explore bioreagents carefree to elevate your research. All our products are rigorously tested for performance. If a product does not perform as described on its datasheet, our scientific support team will provide expert troubleshooting, a prompt replacement, or a refund. For full details, please see our Terms & Conditions and Buying Guide. Contact us at [email protected].

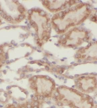
Immunohistochemistry with Fetal liver cell lysate tissue at an antibody concentration of 1.25 ug/ml using anti-ADH4 antibody (orb578873).

WB Suggested Anti-ADH4 Antibody Titration: 1 ug/ml, Positive Control: HepG2 cell lysate.
Documents Download
Request a Document
Protocol Information
ADH4 Rabbit Polyclonal Antibody (orb578873)
Participating in our Biorbyt product reviews program enables you to support fellow scientists by sharing your firsthand experience with our products.
Login to Submit a Review





