You have no items in your shopping cart.
BATF2 Antibody
SKU: orb736989
Description
Images & Validation
−Item 1 of 1
| Tested Applications | WB |
|---|---|
| Dilution range | WB: 1/500 - 1/1000 |
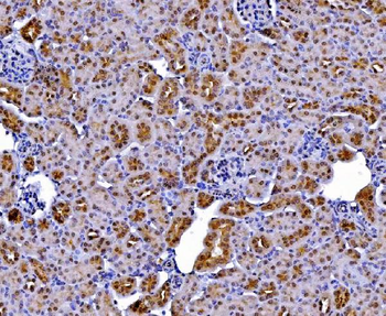
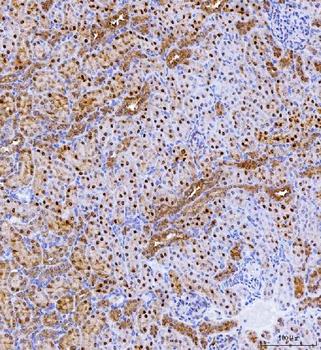
| Reactivity | Human, Mouse, Rat |
Key Properties
−| Host | Rabbit |
|---|---|
| Clonality | Polyclonal |
| Clone No. | BATF2 |
| Conjugation | Unconjugated |
Storage & Handling
−| Storage | Maintain refrigerated at 2-8°C for up to 2 weeks. For long term storage store at -20°C in small aliquots to prevent freeze-thaw cycles |
|---|---|
| Disclaimer | For research use only |
Alternative Names
−Anti-Basic leucine zipper transcriptional factor ATF-like 2 antibody, anti-B-ATF-2 antibody, anti-Suppressor of AP-1 regulated by IFN antibody, anti-SARI antibody
Similar Products
−BATF2 rabbit pAb Antibody [orb772316]
ELISA, WB
Human, Mouse, Rat
Polyclonal
Unconjugated
100 μl, 50 μl

Quality Guarantee
Explore bioreagents carefree to elevate your research. All our products are rigorously tested for performance. If a product does not perform as described on its datasheet, our scientific support team will provide expert troubleshooting, a prompt replacement, or a refund. For full details, please see our Terms & Conditions and Buying Guide. Contact us at [email protected].

Western blot analysis of BATF2 expression in HeLa (A), HepG2 (B), mouse liver (C), rat liver (D) whole cell lysates.
Quick Database Links
UniProt
UniProt Details
− No UniProt data available
Documents Download
Datasheet
Product Information
Request a Document
BATF2 Antibody (orb736989)
Based on 0 reviews
Participating in our Biorbyt product reviews program enables you to support fellow scientists by sharing your firsthand experience with our products.
Login to Submit a Review






