You have no items in your shopping cart.
CD363 Antibody
Description
Images & Validation
−| Tested Applications | IF, IHC, WB |
|---|---|
| Dilution Range | WB: WB (1/500 - 1/1000), IH (1/50 - 1/200), IF/IC (1/100 - 1/500), IF: WB (1/500 - 1/1000), IH (1/50 - 1/200), IF/IC (1/100 - 1/500) |
| Reactivity | Human, Mouse, Rat |
Key Properties
−| Host | Rabbit |
|---|---|
| Clonality | Polyclonal |
| Clone No. | S1PR1 |
| Conjugation | Unconjugated |
Storage & Handling
−| Storage | Maintain refrigerated at 2-8°C for up to 2 weeks. For long term storage store at -20°C in small aliquots to prevent freeze-thaw cycles. |
|---|---|
| Expiration Date | 12 months from date of receipt. |
| Disclaimer | For research use only |
Alternative Names
−Similar Products
−EDG1 Recombinant Rabbit Monoclonal Antibody [orb1727966]
WB
Rat
Human, Mouse, Rat
Rabbit
Recombinant
Unconjugated
100 μl, 50 μlEDG1 Rabbit Polyclonal Antibody [orb100426]
IF, IHC-Fr, IHC-P, WB
Canine, Equine
Human, Mouse, Rat
Rabbit
Polyclonal
Unconjugated
50 μl, 100 μl, 200 μlMouse Sphingosine 1 Phosphate Receptor 1 (S1PR1) ELISA Kit [orb779980]
Mouse
0.32-20 ng/mL
0.123 ng/mL
96 T, 48 THuman Sphingosine 1 Phosphate Receptor 1 (S1PR1) ELISA Kit [orb778330]
Human
0.16-10 ng/mL
0.055 ng/mL
96 T, 48 TS1PR1 Antibody [orb1238746]
ELISA, IF, IHC-P, WB
Bovine
Human, Mouse, Rat
Rabbit
Polyclonal
Unconjugated
0.1 mg, 0.02 mg

Quality Guarantee
Explore bioreagents carefree to elevate your research. All our products are rigorously tested for performance. If a product does not perform as described on its datasheet, our scientific support team will provide expert troubleshooting, a prompt replacement, or a refund. For full details, please see our Terms & Conditions and Buying Guide. Contact us at [email protected].

Western blot analysis of CD363 expression in A375 (A), DLD (B), rat skin (C), mouse muscle (D) whole cell lysates.

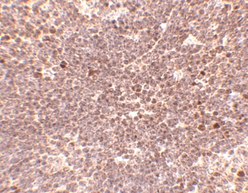
Immunohistochemical analysis of CD363 staining in human brain formalin fixed paraffin embedded tissue section. The section was pre-treated using heat mediated antigen retrieval with sodium citrate buffer (pH6.0). The section was then incubated with the antibody at room temperature and detected using an HRP conjugated compact polymer system. DAB was used as the chromogen. The section was then counterstained with haematoxylin and mounted with DPX.

Immunofluorescent analysis of CD363 staining in COS7 cells. Formalin-fixed cells were permeabilized with 0.1% Triton X-100 in TBS for 5-10 minutes and blocked with 3% BSA-PBS for 30 minutes at room temperature. Cells were probed with the primary antibody in 3% BSA-PBS and incubated overnight at 4°C in a hidified chamber. Cells were washed with PBST and incubated with a Alexa Fluor 594-conjugated secondary antibody (red) in PBS at room temperature in the dark.
Quick Database Links
UniProt Details
−Documents Download
Request a Document
Protocol Information
CD363 Antibody (orb2649591)
Participating in our Biorbyt product reviews program enables you to support fellow scientists by sharing your firsthand experience with our products.
Login to Submit a Review
















