You have no items in your shopping cart.
Elafin/Skalp PI3 Antibody (monoclonal, C7)
Description
Images & Validation
−| Tested Applications | ELISA, IHC |
|---|---|
| Reactivity | Human |
| Application Notes |
Key Properties
−| Antibody Type | Primary Antibody |
|---|---|
| Host | Mouse |
| Clonality | Monoclonal |
| Isotype | Mouse IgG1 |
| Clone No. | C7 |
| Immunogen | E. coli-derived human Elafin/Skalp recombinant protein (Position: A61-Q117). |
| Target | Glial fibrillary acidic protein |
| Molecular Weight | 25 kDa |
| Purification | Immunogen affinity purified. |
| Conjugation | Unconjugated |
Storage & Handling
−| Storage | Maintain refrigerated at 2-8°C for up to 2 weeks. For long term storage store at -20°C in small aliquots to prevent freeze-thaw cycles. |
|---|---|
| Form/Appearance | Lyophilized |
| Concentration | Adding 0.2 ml of distilled water will yield a concentration of 500 μg/ml. |
| Disclaimer | For research use only |
Alternative Names
−Similar Products
−Glial fibrillary acidic protein Antibody (Biotin) [orb2611674]
ELISA, IHC, WB
Human
Mouse
Monoclonal
Biotin
100 μgGlial fibrillary acidic protein Antibody (HRP) [orb2611671]
ELISA, IHC, WB
Human
Mouse
Monoclonal
HRP
100 μg

Quality Guarantee
Explore bioreagents carefree to elevate your research. All our products are rigorously tested for performance. If a product does not perform as described on its datasheet, our scientific support team will provide expert troubleshooting, a prompt replacement, or a refund. For full details, please see our Terms & Conditions and Buying Guide. Contact us at [email protected].

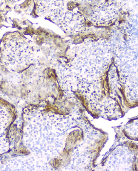
IHC analysis of Elafin using anti-Elafin antibody. Elafin was detected in paraffin-embedded section of human tonsil tissue. Heat mediated antigen retrieval was performed in citrate buffer (pH6, epitope retrieval solution) for 20 mins. The tissue section was blocked with 10% goat serum. The tissue section was then incubated with 2 µg/ml mouse anti-Elafin Antibody overnight at 4°C. Biotinylated goat anti-mouse IgG was used as secondary antibody and incubated for 30 minutes at 37°C. The tissue section was developed using Strepavidin-Biotin-Complex (SABC) with DAB as the chromogen.

Sandwich ELISA - Recombinant human Elafin/Skalp protein standard curve. Use in combination with reagents from Human Elafin/Skalp ELISA Kit EZ-Set (DIY Antibody Pairs).
Quick Database Links
UniProt Details
−Documents Download
Request a Document
Protocol Information
Elafin/Skalp PI3 Antibody (monoclonal, C7) (orb421110)
Participating in our Biorbyt product reviews program enables you to support fellow scientists by sharing your firsthand experience with our products.
Login to Submit a Review