You have no items in your shopping cart.
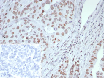
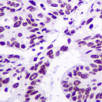
ARID1A Antibody
Description
Research Area
Images & Validation
−
| Tested Applications | IHC |
|---|---|
| Dilution Range | IHC: 1/50-1/200; ELISA: 1/1000-1/5000 |
| Reactivity | Human, Mouse |
Key Properties
−| Antibody Type | Primary Antibody |
|---|---|
| Host | Rabbit |
| Clonality | Polyclonal |
| Isotype | Rabbit IgG |
| Immunogen | Synthetic peptide of human ARID1A |
| Target | ARID1A |
| Conjugation | Unconjugated |
Storage & Handling
−| Storage | Maintain refrigerated at 2-8°C for up to 2 weeks. For long term storage store at -20°C in small aliquots to prevent freeze-thaw cycles. |
|---|---|
| Buffer/Preservatives | Purified antibody in PBS with 0.05% sodium azide and 50% glycerol. |
| Concentration | Approximately 1mg/ml (varies from batch to batch). Please inquire for precise concentration. |
| Expiration Date | 12 months from date of receipt. |
| Disclaimer | For research use only |
Alternative Names
−Similar Products
−Rabbit ARID1A/BAF250 Recombinant Monoclonal Antibody [orb1806460]
FC, ICC, IHC, IP, WB
Human, Mouse
Rabbit
Recombinant
Unconjugated
100 μl, 10 μlARID1A Rabbit Polyclonal Antibody [orb865604]
ELISA, FC, ICC, IF, IHC, WB
Human, Rat
Rabbit
Polyclonal
Unconjugated
100 μgARID1A Rabbit mAb [KD Validated] Antibody [orb1951306]
ICC, IHC
Human, Mouse, Rat
Rabbit
Monoclonal
Unconjugated
100 μl, 50 μlARID1A Antibody [orb1239088]
ELISA, IF, IHC-P, WB
Human, Mouse, Rat
Rabbit
Polyclonal
Unconjugated
0.1 mg, 0.02 mgARID1A Antibody [orb2309687]
IHC
Human
Mouse
Monoclonal
Unconjugated
100 μg, 20 μg, 100 μg (without BSA and Azide)

Quality Guarantee
Explore bioreagents carefree to elevate your research. All our products are rigorously tested for performance. If a product does not perform as described on its datasheet, our scientific support team will provide expert troubleshooting, a prompt replacement, or a refund. For full details, please see our Terms & Conditions and Buying Guide. Contact us at [email protected].
Documents Download
Request a Document
ARID1A Antibody (orb1284038)
Participating in our Biorbyt product reviews program enables you to support fellow scientists by sharing your firsthand experience with our products.
Login to Submit a Review















![ARID1A Rabbit mAb [KD Validated] Antibody](/images/pub/media/catalog/product/NewWebsite/18/orb1951306_1.png)
![ARID1A Rabbit mAb [KD Validated] Antibody](/images/pub/media/catalog/product/NewWebsite/18/orb1951306_2.png)
![ARID1A Rabbit mAb [KD Validated] Antibody](/images/pub/media/catalog/product/NewWebsite/18/orb1951306_3.png)
![ARID1A Rabbit mAb [KD Validated] Antibody](/images/pub/media/catalog/product/NewWebsite/18/orb1951306_4.png)
![ARID1A Rabbit mAb [KD Validated] Antibody](/images/pub/media/catalog/product/NewWebsite/18/orb1951306_5.png)




