You have no items in your shopping cart.
ASK 1 rabbit pAb
Description
Images & Validation
−| Tested Applications | ELISA, IHC-P, WB |
|---|---|
| Dilution range | Western Blot: 1/500 - 1/2000. Immunohistochemistry: 1/100 - 1/300. ELISA: 1/20000. Not yet tested in other applications. |
| Reactivity | Human, Mouse, Rat |
Key Properties
−| Clonality | Polyclonal |
|---|---|
| Isotype | IgG |
| Immunogen | The antiserum was produced against synthesized peptide derived from human ASK1. AA range:932-981 |
| Molecular Weight | 155 |
| Purification | The antibody was affinity-purified from rabbit antiserum by affinity-chromatography using epitope-specific immunogen. |
| Conjugation | Unconjugated |
Storage & Handling
−| Storage | Maintain refrigerated at 2-8°C for up to 2 weeks. For long term storage store at -20°C in small aliquots to prevent freeze-thaw cycles. |
|---|---|
| Buffer/Preservatives | PBS with 0.02% sodium azide and 50% glycerol pH 7.4. |
| Concentration | 1 mg/ml |
| Disclaimer | For research use only |
Alternative Names
−Similar Products
−ASK 1 (phospho Ser966) rabbit pAb [orb764139]
ELISA, IHC-P, WB
Human, Mouse, Rat
Polyclonal
Unconjugated
50 μl, 100 μlDbf4 rabbit pAb [orb765023]
ELISA, IHC-P, WB
Human, Monkey, Mouse
Polyclonal
Unconjugated
100 μl, 50 μlASK 1 (phospho Ser83) rabbit pAb [orb769106]
ELISA, IHC-P, WB
Human, Mouse, Rat
Polyclonal
Unconjugated
50 μl, 100 μlASK1 Rabbit pAb [orb1565611]
FC, ICC, IF, IHC-P, WB
Human, Mouse
Polyclonal
Unconjugated
100 μl, 50 μl, 20 μl

Quality Guarantee
Explore bioreagents carefree to elevate your research. All our products are rigorously tested for performance. If a product does not perform as described on its datasheet, our scientific support team will provide expert troubleshooting, a prompt replacement, or a refund. For full details, please see our Terms & Conditions and Buying Guide. Contact us at [email protected].

Western Blot analysis of 293 cells using ASK 1 Polyclonal Antibody.

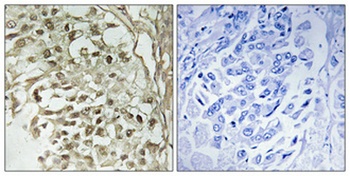
Immunohistochemistry analysis of paraffin-embedded human breast carcinoma tissue, using ASK1 Antibody. The picture on the right is blocked with the synthesized peptide.

Western blot analysis of lysates from RAW264.7 cells, using ASK1 Antibody. The lane on the right is blocked with the synthesized peptide.
Quick Database Links
Protocol Information
ASK 1 rabbit pAb (orb769107)
Participating in our Biorbyt product reviews program enables you to support fellow scientists by sharing your firsthand experience with our products.
Login to Submit a Review













