You have no items in your shopping cart.
Cathepsin D rabbit pAb Antibody
Description
Images & Validation
−| Tested Applications | ELISA, IF, IHC, WB |
|---|---|
| Dilution range | Western Blot: 1/500 - 1/2000. Immunohistochemistry: 1/100 - 1/300. ELISA: 1/40000. Not yet tested in other applications. |
| Reactivity | Human, Mouse, Rat |
Key Properties
−| Clonality | Polyclonal |
|---|---|
| Isotype | IgG |
| Immunogen | The antiserum was produced against synthesized peptide derived from human Cathepsin D. AA range:296-345 |
| Molecular Weight | 46,30 |
| Purification | The antibody was affinity-purified from rabbit antiserum by affinity-chromatography using epitope-specific immunogen. |
| Conjugation | Unconjugated |
Storage & Handling
−| Storage | Maintain refrigerated at 2-8°C for up to 2 weeks. For long term storage store at -20°C in small aliquots to prevent freeze-thaw cycles. |
|---|---|
| Buffer/Preservatives | PBS with 0.02% sodium azide and 50% glycerol pH 7.4. |
| Concentration | 1 mg/ml |
| Disclaimer | For research use only |
Alternative Names
−Similar Products
−Cleaved-Cathepsin D HC (L169) rabbit pAb Antibody [orb763901]
ELISA, WB
Human, Mouse, Rat
Polyclonal
Unconjugated
100 μl, 50 μlCleaved-Cathepsin D LC (G65) rabbit pAb Antibody [orb763902]
ELISA, WB
Human, Monkey
Polyclonal
Unconjugated
100 μl, 50 μlCathepsin D rabbit pAb Antibody [orb767773]
ELISA, IF, IHC, WB
Human, Mouse
Polyclonal
Unconjugated
100 μl, 50 μlCathepsin D Rabbit pAb, IRDye 800CW conjugated [orb2819664]
WB
Bovine, Canine, Human, Mouse, Porcine, Rabbit
Rat
Rabbit
Polyclonal
IRDye800
100 μlCathepsin D Rabbit pAb, Pacific Blue conjugated [orb2819699]
IF
Rat
Mouse
Rabbit
Polyclonal
Pacific Blue
100 μl

Quality Guarantee
Explore bioreagents carefree to elevate your research. All our products are rigorously tested for performance. If a product does not perform as described on its datasheet, our scientific support team will provide expert troubleshooting, a prompt replacement, or a refund. For full details, please see our Terms & Conditions and Buying Guide. Contact us at [email protected].

Western Blot analysis of various cells using Cathepsin D Polyclonal Antibody.

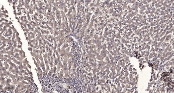
Immunohistochemistry analysis of Cathepsin?D antibody in paraffin-embedded human lung carcinoma tissue.

Western blot analysis of lysate from HepG2 cells, using Cathepsin?D antibody.
Quick Database Links
Documents Download
Request a Document
Protocol Information
Cathepsin D rabbit pAb Antibody (orb764745)
Participating in our Biorbyt product reviews program enables you to support fellow scientists by sharing your firsthand experience with our products.
Login to Submit a Review





