You have no items in your shopping cart.
CCNA2 Antibody
Description
Images & Validation
−| Tested Applications | ELISA, IF, IHC, WB |
|---|---|
| Dilution range | WB: 1:500-1:2000; IHC: 1:20-1:200; IF: 1:50-1:200 |
| Reactivity | Human, Mouse, Rat |
Key Properties
−| Antibody Type | Primary Antibody |
|---|---|
| Host | Rabbit |
| Clonality | Polyclonal |
| Isotype | IgG |
| Immunogen | cyclin A2 |
| Target | CCNA2 |
| Molecular Weight | 48-52 kDa |
| Purity | ≥95% as determined by SDS-PAGE |
| Purification | Immunogen affinity purified |
| Conjugation | Unconjugated |
Storage & Handling
−| Storage | Maintain refrigerated at 2-8°C for up to 2 weeks. For long term storage store at -20°C in small aliquots to prevent freeze-thaw cycles. |
|---|---|
| Form/Appearance | liquid |
| Disclaimer | For research use only |
Similar Products
−Cyclin A Polyclonal Antibody [orb1414115]
IF, IHC-P, WB
Human, Mouse, Rat
Rabbit
Polyclonal
Unconjugated
100 μlCyclin A rabbit pAb Antibody [orb764953]
ELISA, IF, IHC, WB
Human, Monkey, Mouse, Rat
Polyclonal
Unconjugated
50 μl, 100 μlCyclin A (CCNA2) Antibody (N-term) [orb1929389]
FC, IHC-P, WB
Human
Rabbit
Polyclonal
Unconjugated
100 μl, 50 μl

Quality Guarantee
Explore bioreagents carefree to elevate your research. All our products are rigorously tested for performance. If a product does not perform as described on its datasheet, our scientific support team will provide expert troubleshooting, a prompt replacement, or a refund. For full details, please see our Terms & Conditions and Buying Guide. Contact us at [email protected].

Jurkat cells were subjected to SDS PAGE followed by western blot with orb626159 (cyclin A2 antibody) at dilution of 1:1000.

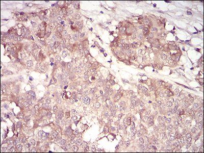
Immunohistochemistry of paraffin-embedded human squamous skin carcinoma using orb626159 (cyclin A2 antibody) at dilution of 1:100.
Quick Database Links
UniProt Details
−Documents Download
Request a Document
Protocol Information
CCNA2 Antibody (orb626159)
Participating in our Biorbyt product reviews program enables you to support fellow scientists by sharing your firsthand experience with our products.
Login to Submit a Review




















