You have no items in your shopping cart.
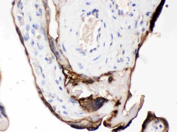
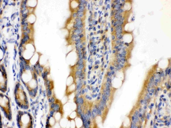
CDCP1 Antibody
Description
Research Area
Images & Validation
−| Tested Applications | ELISA, WB |
|---|---|
| Dilution range | WB: 1:500-1:2000 |
| Reactivity | Human, Mouse, Rat |
Key Properties
−| Antibody Type | Primary Antibody |
|---|---|
| Host | Rabbit |
| Clonality | Polyclonal |
| Isotype | IgG |
| Immunogen | CUB domain containing protein 1 |
| Target | CDCP1 |
| Molecular Weight | 130 kDa |
| Purity | ≥95% as determined by SDS-PAGE |
| Purification | Immunogen affinity purified |
| Conjugation | Unconjugated |
Storage & Handling
−| Storage | Maintain refrigerated at 2-8°C for up to 2 weeks. For long term storage store at -20°C in small aliquots to prevent freeze-thaw cycles. |
|---|---|
| Form/Appearance | liquid |
| Disclaimer | For research use only |
Alternative Names
−Similar Products
−CDCP1 Polyclonal Antibody [orb1411479]
IHC-P, WB
Human, Mouse, Rat
Rabbit
Polyclonal
Unconjugated
100 μlCDCP1 rabbit pAb Antibody [orb766896]
ELISA, IF, IHC, WB
Human, Mouse, Rat
Polyclonal
Unconjugated
100 μl, 50 μlHuman CUB Domain Containing Protein 1 (CDCP1) ELISA Kit [orb777380]
Human
0.32-20 ng/mL
0.12 ng/mL
48 T, 96 TGoat anti-CDCP1 (isoform 1: C term) Antibody [orb18721]
ELISA, IHC, WB
Human
Goat
Polyclonal
Unconjugated
100 μg

Quality Guarantee
Explore bioreagents carefree to elevate your research. All our products are rigorously tested for performance. If a product does not perform as described on its datasheet, our scientific support team will provide expert troubleshooting, a prompt replacement, or a refund. For full details, please see our Terms & Conditions and Buying Guide. Contact us at [email protected].

A549 cells were subjected to SDS PAGE followed by western blot with orb625668 (CDCP1 Antibody) at dilution of 1:600.
Quick Database Links
UniProt Details
−Documents Download
Request a Document
Protocol Information
CDCP1 Antibody (orb625668)
Participating in our Biorbyt product reviews program enables you to support fellow scientists by sharing your firsthand experience with our products.
Login to Submit a Review


















