You have no items in your shopping cart.
CIAO1 Antibody
Description
Images & Validation
−| Tested Applications | ELISA, IHC, WB |
|---|---|
| Dilution range | WB: 1:500 - 1:2000; IHC: 1:50 - 1:200 |
| Reactivity | Human, Mouse, Rat |
Key Properties
−| Antibody Type | Primary Antibody |
|---|---|
| Host | Rabbit |
| Clonality | Polyclonal |
| Isotype | IgG |
| Immunogen | cytosolic iron-sulfur protein assembly 1 homolog (S. cerevisiae) |
| Target | CIAO1 |
| Molecular Weight | 38 kDa |
| Purity | ≥95% as determined by SDS-PAGE |
| Purification | Immunogen affinity purified |
| Conjugation | Unconjugated |
Storage & Handling
−| Storage | Maintain refrigerated at 2-8°C for up to 2 weeks. For long term storage store at -20°C in small aliquots to prevent freeze-thaw cycles. |
|---|---|
| Form/Appearance | liquid |
| Disclaimer | For research use only |
Alternative Names
−Similar Products
−CIAO1 Rabbit Polyclonal Antibody [orb575069]
IHC, WB
Bovine, Canine, Equine, Mouse, Porcine, Rabbit, Rat, Yeast
Human
Rabbit
Polyclonal
Unconjugated
100 μlWDR39 Rabbit Polyclonal Antibody [orb324534]
IHC, WB
Bovine, Canine, Equine, Mouse, Porcine, Rabbit, Rat
Human
Rabbit
Polyclonal
Unconjugated
100 μl

Quality Guarantee
Explore bioreagents carefree to elevate your research. All our products are rigorously tested for performance. If a product does not perform as described on its datasheet, our scientific support team will provide expert troubleshooting, a prompt replacement, or a refund. For full details, please see our Terms & Conditions and Buying Guide. Contact us at [email protected].

HepG2 cells were subjected to SDS PAGE followed by western blot with orb625812 (CIAO1 Antibody) at dilution of 1:1000.

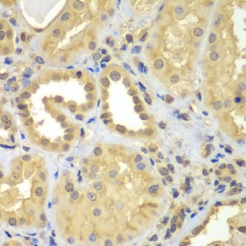
Immunohistochemistry of paraffin-embedded human kidney using orb625812 (CIAO1 Antibody) at dilution of 1:100.
Quick Database Links
UniProt Details
−Documents Download
Request a Document
Protocol Information
CIAO1 Antibody (orb625812)
Participating in our Biorbyt product reviews program enables you to support fellow scientists by sharing your firsthand experience with our products.
Login to Submit a Review











