You have no items in your shopping cart.
Claudin-4 rabbit pAb
Description
Images & Validation
−| Tested Applications | ELISA, IHC-P, WB |
|---|---|
| Dilution range | Western Blot: 1/500 - 1/2000. Immunohistochemistry: 1/100 - 1/300. ELISA: 1/5000. Not yet tested in other applications. |
| Reactivity | Human, Mouse, Rat |
Key Properties
−| Clonality | Polyclonal |
|---|---|
| Isotype | IgG |
| Immunogen | The antiserum was produced against synthesized peptide derived from human Claudin 4. AA range:160-209 |
| Molecular Weight | 28 |
| Purification | The antibody was affinity-purified from rabbit antiserum by affinity-chromatography using epitope-specific immunogen. |
| Conjugation | Unconjugated |
Storage & Handling
−| Storage | Maintain refrigerated at 2-8°C for up to 2 weeks. For long term storage store at -20°C in small aliquots to prevent freeze-thaw cycles. |
|---|---|
| Buffer/Preservatives | PBS with 0.02% sodium azide and 50% glycerol pH 7.4. |
| Concentration | 1 mg/ml |
| Disclaimer | For research use only |
Alternative Names
−Similar Products
−Claudin-4 rabbit pAb [orb764863]
ELISA, IF, IHC-P, WB
Human, Mouse, Rat
Polyclonal
Unconjugated
50 μl, 100 μlClaudin-4 (phospho Tyr208) rabbit pAb [orb767663]
ELISA, IHC-P
Human, Mouse, Rat
Polyclonal
Unconjugated
100 μl, 50 μlClaudin 4 Rabbit pAb, AE conjugated [orb2841206]
ELISA
Bovine, Canine, Equine, Gallus, Human, Mouse, Porcine, Rabbit, Sheep
Rat
Rabbit
Polyclonal
AE
100 μlClaudin 4 Rabbit pAb, IRDye 800CW conjugated [orb2841207]
WB
Bovine, Canine, Equine, Gallus, Human, Mouse, Porcine, Rabbit, Sheep
Rat
Rabbit
Polyclonal
IRDye800
100 μlClaudin 4 Rabbit pAb [orb2715519]
ELISA, ICC, IF, IHC-Fr, IHC-P, WB
Human, Mouse, Rat
Polyclonal
Unconjugated
100 μl, 50 μl

Quality Guarantee
Explore bioreagents carefree to elevate your research. All our products are rigorously tested for performance. If a product does not perform as described on its datasheet, our scientific support team will provide expert troubleshooting, a prompt replacement, or a refund. For full details, please see our Terms & Conditions and Buying Guide. Contact us at [email protected].

Western Blot analysis of mouse-BRAIN cells using Claudin-4 Polyclonal Antibody diluted at 1:500.

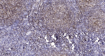
Immunohistochemistry analysis of paraffin-embedded human brain tissue, using Claudin 4 Antibody. The picture on the right is blocked with the synthesized peptide.

Western blot analysis of lysates from COLO cells, using Claudin 4 Antibody. The lane on the right is blocked with the synthesized peptide.
Quick Database Links
Protocol Information
Claudin-4 rabbit pAb (orb767664)
Participating in our Biorbyt product reviews program enables you to support fellow scientists by sharing your firsthand experience with our products.
Login to Submit a Review




