You have no items in your shopping cart.
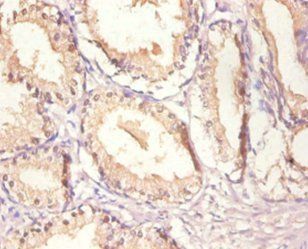
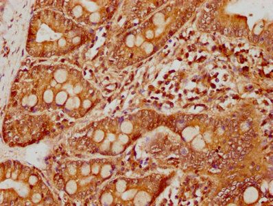
CLEC14A Antibody
SKU: orb1283018
Description
Research Area
Epigenetics
Images & Validation
−
| Tested Applications | IHC |
|---|---|
| Dilution range | IHC: 1/50-1/100; ELISA: 1/5000-1/10000 |
| Reactivity | Human |
Key Properties
−| Antibody Type | Primary Antibody |
|---|---|
| Host | Rabbit |
| Clonality | Polyclonal |
| Isotype | Rabbit IgG |
| Immunogen | Synthetic peptide of human CLEC14A |
| Target | CLEC14A |
| Conjugation | Unconjugated |
Storage & Handling
−| Storage | Maintain refrigerated at 2-8°C for up to 2 weeks. For long term storage store at -20°C in small aliquots to prevent freeze-thaw cycles. |
|---|---|
| Buffer/Preservatives | Purified antibody in PBS with 0.05% sodium azide and 50% glycerol. |
| Concentration | Approximately 1mg/ml (varies from batch to batch). Please inquire for precise concentration. |
| Disclaimer | For research use only |
Alternative Names
−CEG1, EGFR-5, C14orf27
Similar Products
−CLEC14A Reference Antibody [orb1806236]
ELISA, FA, FACS, In vivo
Human
Monoclonal
Unconjugated
1 mg, 100 μg

Quality Guarantee
Explore bioreagents carefree to elevate your research. All our products are rigorously tested for performance. If a product does not perform as described on its datasheet, our scientific support team will provide expert troubleshooting, a prompt replacement, or a refund. For full details, please see our Terms & Conditions and Buying Guide. Contact us at [email protected].
Documents Download
Datasheet
Product Information
Request a Document
CLEC14A Antibody (orb1283018)
Based on 0 reviews
Participating in our Biorbyt product reviews program enables you to support fellow scientists by sharing your firsthand experience with our products.
Login to Submit a Review





