You have no items in your shopping cart.
Cofilin 2 antibody
Description
Research Area
Images & Validation
−| Tested Applications | ICC, IHC-P, WB |
|---|---|
| Dilution range | WB: 1:500-1:3000 , IF: 1:100-1:1000 , IHC-P: 1:100-1:1000 |
| Reactivity | Human, Mouse |
| Application Notes |
Key Properties
−| Antibody Type | Primary Antibody |
|---|---|
| Host | Rabbit |
| Clonality | Polyclonal |
| Isotype | IgG |
| Immunogen | Carrier-protein conjugated synthetic peptide encompassing a sequence within the C-terminus region of human Cofilin 2. The exact sequence is proprietary. |
| Target | Cofilin 2 |
| Molecular Weight | 19 |
| Purity | Purified by antigen-affinity chromatography. |
| Purification | Purified by antigen-affinity chromatography. |
| Conjugation | Unconjugated |
Storage & Handling
−| Storage | Store as concentrated solution. Centrifuge briefly prior to opening vial. For short-term storage (1-2 weeks), store at 4°C. For long-term storage, aliquot and store at -20°lC or below. Avoid multiple freeze-thaw cycles. |
|---|---|
| Form/Appearance | Liquid: 1XPBS, 20% Glycerol (pH7). 0.01% Thimerosal was added as a preservative. |
| Buffer/Preservatives | 0.01% Thimerosal. 1XPBS (pH7), 20% Glycerol |
| Concentration | 1 mg/ml |
| Disclaimer | For research use only |
Alternative Names
−Similar Products
−Cofilin 2/CFL2 Antibody (monoclonal, 8C13) [orb570307]
FC, ICC, IF, IHC, WB
Human, Mouse, Rat
Mouse
Monoclonal
Unconjugated
100 μgAldolase/ALDOA Antibody (monoclonal, 6H8) [orb692226]
FC, ICC, IF, IHC, WB
Human
Mouse
Monoclonal
Unconjugated
100 μgPTBP2 Antibody (monoclonal, 13D11) [orb738421]
FC, ICC, IF, IHC, WB
Human, Mouse, Rat
Mouse
Monoclonal
Unconjugated
100 μgCofilin 2 (muscle) Antibody [orb19077]
ELISA, IHC, WB
Canine, Mouse, Porcine
Human, Rat
Goat
Polyclonal
Unconjugated
100 μgPTBP2 Antibody (monoclonal, 8F11) [orb738420]
FC, ICC, IF, IHC, WB
Human, Mouse, Rat
Mouse
Monoclonal
Unconjugated
100 μg

Quality Guarantee
Explore bioreagents carefree to elevate your research. All our products are rigorously tested for performance. If a product does not perform as described on its datasheet, our scientific support team will provide expert troubleshooting, a prompt replacement, or a refund. For full details, please see our Terms & Conditions and Buying Guide. Contact us at [email protected].

Immunofluorescence analysis of HeLa cells using Cofilin 2 antibody

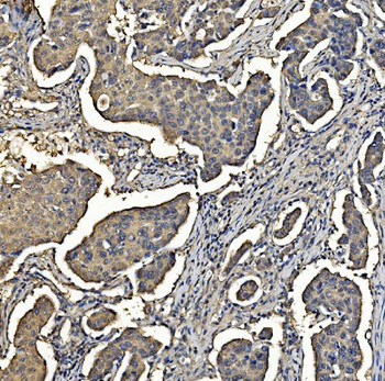
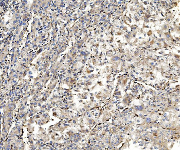
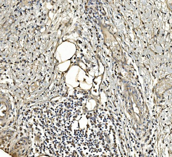
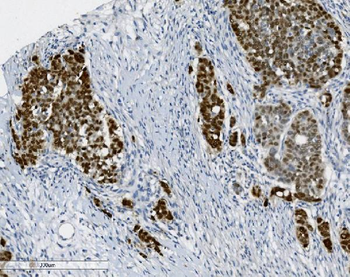
Immunohistochemical staining of human gastric cancer using Cofilin 2 antibody

Western blot analysis of Various whole cell using Cofilin 2 antibody

Western blot analysis of Raji cells using Cofilin 2 antibody
Quick Database Links
UniProt Details
−Documents Download
Request a Document
Protocol Information
Cofilin 2 antibody (orb555888)
Participating in our Biorbyt product reviews program enables you to support fellow scientists by sharing your firsthand experience with our products.
Login to Submit a Review




























