You have no items in your shopping cart.
GCSF Antibody
Description
Research Area
Images & Validation
−| Tested Applications | IHC-P |
|---|---|
| Dilution range | Immunohistochemistry (FFPE): 1-2ug/ml for 30 min at RT |
| Reactivity | Human |
| Application Notes |
Key Properties
−| Antibody Type | Primary Antibody |
|---|---|
| Host | Mouse |
| Clonality | Monoclonal |
| Isotype | Mouse IgG1, kappa |
| Clone No. | SPM468 |
| Immunogen | Nuclei from pokeweed mitogen stimulated human peripheral blood lymphocytes was used as the immunogen for the GCSF antibody. |
| Purification | Protein G affinity chromatography |
| Conjugation | Unconjugated |
Storage & Handling
−| Storage | Maintain refrigerated at 2-8°C for up to 2 weeks. For long term storage store at -20°C in small aliquots to prevent freeze-thaw cycles. |
|---|---|
| Disclaimer | For research use only |
Similar Products
−G-CSF/CSF3 Rabbit Polyclonal Antibody [orb10702]
IF, IHC-Fr, IHC-P
Bovine, Porcine, Rat, Sheep
Human, Mouse
Rabbit
Polyclonal
Unconjugated
100 μl, 50 μl, 200 μlRat Colony Stimulating Factor 3, Granulocyte (GCSF) ELISA Kit [orb776358]
Rat
7.82-500 pg/mL
2.8 pg/mL
96 T, 48 THuman Colony Stimulating Factor Receptor, Granulocyte (GCSFR) ELISA Kit [orb778345]
Human
0.16-10 ng/mL
0.053 ng/mL
96 T, 48 THuman Colony Stimulating Factor 3, Granulocyte (GCSF) ELISA Kit [orb774890]
Human
15.63-1000 pg/mL
5.4 pg/mL
96 T, 48 T

Quality Guarantee
Explore bioreagents carefree to elevate your research. All our products are rigorously tested for performance. If a product does not perform as described on its datasheet, our scientific support team will provide expert troubleshooting, a prompt replacement, or a refund. For full details, please see our Terms & Conditions and Buying Guide. Contact us at [email protected].

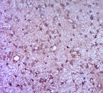
IHC: Formalin-fixed, paraffin-embedded human tonsil stained with GCSF antibody (SPM468).
Quick Database Links
UniProt Details
−Documents Download
Request a Document
GCSF Antibody (orb749477)
Participating in our Biorbyt product reviews program enables you to support fellow scientists by sharing your firsthand experience with our products.
Login to Submit a Review










