You have no items in your shopping cart.
ENTPD3 Antibody
Description
Research Area
Images & Validation
−| Tested Applications | ELISA, IF, IHC |
|---|---|
| Dilution range | IHC-P:1:20-200, IF:1:50-200 |
| Reactivity | Human |
Key Properties
−| Host | Rabbit |
|---|---|
| Clonality | Polyclonal |
| Isotype | IgG |
| Immunogen | Recombinant Human Ectonucleoside triphosphate diphosphohydrolase 3 protein (60-338AA) |
| Target | ENTPD3 |
| Purification | >95%, Protein G purified |
| Conjugation | Unconjugated |
Storage & Handling
−| Storage | Maintain refrigerated at 2-8°C for up to 2 weeks. For long term storage store at -20°C in small aliquots to prevent freeze-thaw cycles. |
|---|---|
| Form/Appearance | Liquid |
| Buffer/Preservatives | Preservative: 0.03% Proclin 300. Constituents: 50% Glycerol |
| Disclaimer | For research use only |
Alternative Names
−Similar Products
−
Quality Guarantee
Explore bioreagents carefree to elevate your research. All our products are rigorously tested for performance. If a product does not perform as described on its datasheet, our scientific support team will provide expert troubleshooting, a prompt replacement, or a refund. For full details, please see our Terms & Conditions and Buying Guide. Contact us at [email protected].

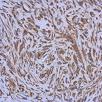
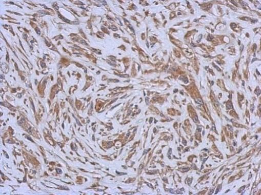
Immunohistochemistry of paraffin-embedded human adrenal gland tissue using ENTPD3 antibody

Immunofluorescent analysis of MCF-7 cells using ENTPD3 antibody

Immunohistochemistry of paraffin-embedded human testis tissue using ENTPD3 antibody
Quick Database Links
UniProt Details
−Documents Download
Request a Document
Protocol Information
ENTPD3 Antibody (orb354755)
Participating in our Biorbyt product reviews program enables you to support fellow scientists by sharing your firsthand experience with our products.
Login to Submit a Review



![ENTPD3 antibody [N3C3]](/images/pub/media/catalog/product/e/n/entpd3-antibody_orb556163_ihc_1.jpg)
![ENTPD3 antibody [N3C3]](/images/pub/media/catalog/product/e/n/entpd3-antibody_orb556163_wb_1.jpg)


