You have no items in your shopping cart.
ErbB-3 rabbit pAb Antibody
Description
Images & Validation
−| Tested Applications | ELISA, IF, IHC, WB |
|---|---|
| Dilution Range | Western Blot: 1/500 - 1/2000. Immunohistochemistry: 1/100 - 1/300. ELISA: 1/20000. Not yet tested in other applications. |
| Reactivity | Human, Mouse, Rat |
Key Properties
−| Clonality | Polyclonal |
|---|---|
| Isotype | IgG |
| Immunogen | The antiserum was produced against synthesized peptide derived from human HER3. AA range:1-50 |
| Molecular Weight | 148 |
| Purification | The antibody was affinity-purified from rabbit antiserum by affinity-chromatography using epitope-specific immunogen. |
| Conjugation | Unconjugated |
Storage & Handling
−| Storage | Maintain refrigerated at 2-8°C for up to 2 weeks. For long term storage store at -20°C in small aliquots to prevent freeze-thaw cycles. |
|---|---|
| Buffer/Preservatives | PBS with 0.02% sodium azide and 50% glycerol pH 7.4. |
| Concentration | 1 mg/ml |
| Expiration Date | 12 months from date of receipt. |
| Disclaimer | For research use only |
Alternative Names
−Similar Products
−ErbB-3 rabbit pAb Antibody [orb765165]
ELISA, IF, IHC, WB
Human, Mouse, Rat
Polyclonal
Unconjugated
100 μl, 50 μlErbB-3 (phospho Tyr1222) rabbit pAb Antibody [orb768026]
ELISA, IF, IHC, WB
Human, Mouse, Rat
Polyclonal
Unconjugated
100 μl, 50 μlErbB-3 (phospho Tyr1289) rabbit pAb Antibody [orb768028]
ELISA, IF, IHC, WB
Human, Mouse, Rat
Polyclonal
Unconjugated
100 μl, 50 μlErbB-3 (phospho Tyr1197) rabbit pAb Antibody [orb768025]
ELISA, WB
Human, Mouse, Rat
Polyclonal
Unconjugated
100 μl, 50 μlErbB-3 (phospho Tyr1328) rabbit pAb Antibody [orb768027]
ELISA, IF, IHC
Human, Mouse, Rat
Polyclonal
Unconjugated
100 μl, 50 μl

Quality Guarantee
Explore bioreagents carefree to elevate your research. All our products are rigorously tested for performance. If a product does not perform as described on its datasheet, our scientific support team will provide expert troubleshooting, a prompt replacement, or a refund. For full details, please see our Terms & Conditions and Buying Guide. Contact us at [email protected].

Western Blot analysis of 293T cells using ErbB-3 Polyclonal Antibody diluted at 1:2000 cells nucleus extracted by Minute TM Cytoplasmic and Nuclear Fractionation kit.

Western Blot analysis of k562 mouse-heart mouse-spleen mouse-lung cells using ErbB-3 Polyclonal Antibody diluted at 1:2000 cells nucleus extracted by Minute TM Cytoplasmic and Nuclear Fractionation kit.

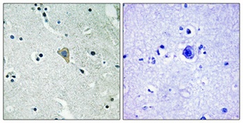
Immunohistochemistry analysis of paraffin-embedded human breast carcinoma tissue, using HER3 Antibody. The picture on the right is blocked with the synthesized peptide.

Western blot analysis of lysates from COLO205 cells, using HER3 Antibody. The lane on the right is blocked with the synthesized peptide.
Documents Download
Request a Document
Protocol Information
ErbB-3 rabbit pAb Antibody (orb768030)
Participating in our Biorbyt product reviews program enables you to support fellow scientists by sharing your firsthand experience with our products.
Login to Submit a Review














