You have no items in your shopping cart.
GDA Antibody
SKU: orb39624
Description
Research Area
Epigenetics & Chromatin
Images & Validation
−Item 1 of 1
| Tested Applications | ELISA, IHC, WB |
|---|---|
| Dilution range | IHC-P:1:20-200 |
| Reactivity | Human |
Key Properties
−| Host | Rabbit |
|---|---|
| Clonality | Polyclonal |
| Isotype | IgG |
| Immunogen | Recombinant Human Guanine deaminase protein (165-454AA) |
| Target | GDA |
| Purification | Antigen Affinity Purified |
| Conjugation | Unconjugated |
Storage & Handling
−| Storage | Maintain refrigerated at 2-8°C for up to 2 weeks. For long term storage store at -20°C in small aliquots to prevent freeze-thaw cycles. |
|---|---|
| Form/Appearance | Liquid |
| Buffer/Preservatives | PBS with 0.02% sodium azide, 50% glycerol, pH7.3. |
| Disclaimer | For research use only |
Alternative Names
−CYPIN antibody; Cytoplasmic PSD95 interactor antibody; D10S105E antibody; GAH antibody; GDA antibody; GUAD_HUMAN antibody; Guanase antibody; Guanine aminase antibody; Guanine aminohydrolase antibody; Guanine deaminase antibody; MGC9982 antibody; NEDASIN antibody; p51-nedasin antibody; SLC25A16 antibody
Similar Products
−Human Progestagen Associated Endometrial Protein (PAEP) ELISA Kit [orb777395]
Human
4.69-300 ng/mL
2.1 ng/mL
96 T, 48 T

Quality Guarantee
Explore bioreagents carefree to elevate your research. All our products are rigorously tested for performance. If a product does not perform as described on its datasheet, our scientific support team will provide expert troubleshooting, a prompt replacement, or a refund. For full details, please see our Terms & Conditions and Buying Guide. Contact us at [email protected].

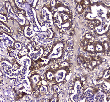
Immunohistochemical staining of human pancreatic tissue using GDA antibody
Quick Database Links
Gene Symbol
GDA
UniProt
UniProt Details
− No UniProt data available
Documents Download
Datasheet
Product Information
Request a Document
Protocol Information
WB
Western Blot (IB, immunoblot)
IHC
Immunohistochemistry
ELISA
Enzyme-linked Immunosorbent Assay (EIA)
GDA Antibody (orb39624)
Based on 0 reviews
Participating in our Biorbyt product reviews program enables you to support fellow scientists by sharing your firsthand experience with our products.
Login to Submit a Review









