You have no items in your shopping cart.
gp96 Antibody / GRP94 / HSP90B1
Description
Research Area
Images & Validation
−| Tested Applications | FACS, IF, IHC-P |
|---|---|
| Dilution range | Flow cytometry: 1-2ug/10^6 cells,Immunofluorescence: 1-2ug/ml,Immunohistochemistry (FFPE): 1-2ug/ml for 30 min at RT |
| Reactivity | Human |
| Application Notes |
Key Properties
−| Antibody Type | Primary Antibody |
|---|---|
| Host | Rat |
| Clonality | Monoclonal |
| Isotype | Rat IgG2a, kappa |
| Clone No. | SPM249 |
| Immunogen | Purified glucose regulated protein 94 from chicken oviducts was used as the immunogen for the gp96 antibody. |
| Purification | Protein G affinity chromatography |
| Conjugation | Unconjugated |
Storage & Handling
−| Storage | Maintain refrigerated at 2-8°C for up to 2 weeks. For long term storage store at -20°C in small aliquots to prevent freeze-thaw cycles. |
|---|---|
| Disclaimer | For research use only |
Similar Products
−
Quality Guarantee
Explore bioreagents carefree to elevate your research. All our products are rigorously tested for performance. If a product does not perform as described on its datasheet, our scientific support team will provide expert troubleshooting, a prompt replacement, or a refund. For full details, please see our Terms & Conditions and Buying Guide. Contact us at [email protected].

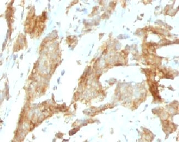
IHC analysis of formalin-fixed, paraffin-embedded human breast carcinoma stained with gp96 antibody (SPM249).

Immunofluorescent staining of permeabilized human HepG2 cells with gp96 antibody (clone SPM249, green) and Reddot nuclear stain (red).

Flow cytometry testing of PFA-fixed human HepG2 cells with gp96 antibody (clone SPM249); Red = isotype control, Blue = gp96 antibody.
Quick Database Links
UniProt Details
−Documents Download
Request a Document
Protocol Information
gp96 Antibody / GRP94 / HSP90B1 (orb749829)
Participating in our Biorbyt product reviews program enables you to support fellow scientists by sharing your firsthand experience with our products.
Login to Submit a Review


