You have no items in your shopping cart.
Human ATX protein
Description
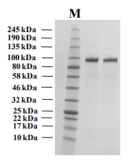
Images & Validation
−| Tested Applications | Functional Studies, IA, WB |
|---|
Key Properties
−| Source | HEK293 cells |
|---|---|
| Expression System | HEK293 cells |
| Biological Origin | Human |
| Immunogen | Unconjugated |
| Reactivity | Human |
| Tag | 10xHis at the C-terminus |
| Molecular Weight | 96 kDA |
| Expression Region | 49-863 aa |
| Protein Sequence | 49-863 |
| Purification | Affinity chromatography |
| Purity | >95% |
Storage & Handling
−| Storage | -20° or -70°C |
|---|---|
| Form/Appearance | Liquid |
| Buffer/Preservatives | PBS 20% Glycerol |
| Expiration Date | 6 months from date of receipt. |
| Dry Ice Shipping | Please note: This product requires shipment on dry ice. A dry ice surcharge will apply. |
| Disclaimer | For research use only |
Alternative Names
−Similar Products
−Human Ectonucleotide Pyrophosphatase/Phosphodiesterase 2 (ENPP2) ELISA Kit [orb777049]
Human
93.75-6000 pg/mL
44.37 pg/mL
96 T, 48 THuman ENPP2 Protein, His Tag [orb1826822]
Unconjugated
The purity of the protein is greater than 85% as determined by SDS-PAGE and Coomassie blue staining.
The protein has a predicted molecular mass of 94.5 kDa after removal of the signal peptide. The apparent molecular mass of His-ENPP2 is approximately 100-130 kDa due to glycosylation.
Mammalian
100 μg, 10 μg, 50 μgAutotaxin Antibody [orb378047]
WB
Human, Mouse, Rat
Rabbit
Polyclonal
Unconjugated
30 μl, 50 μl, 100 μl, 200 μl

Quality Guarantee
Explore bioreagents carefree to elevate your research. All our products are rigorously tested for performance. If a product does not perform as described on its datasheet, our scientific support team will provide expert troubleshooting, a prompt replacement, or a refund. For full details, please see our Terms & Conditions and Buying Guide. Contact us at [email protected].

Human ATX protein
Quick Database Links
UniProt Details
−Documents Download
Request a Document
Human ATX protein (orb668934)
Participating in our Biorbyt product reviews program enables you to support fellow scientists by sharing your firsthand experience with our products.
Login to Submit a Review




