You have no items in your shopping cart.
ISL1 Antibody
Description
Research Area
Images & Validation
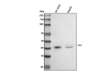
−| Tested Applications | ELISA, IHC |
|---|---|
| Dilution range | IHC-P:1:20-200 |
| Reactivity | Human |
Key Properties
−| Host | Rabbit |
|---|---|
| Clonality | Polyclonal |
| Isotype | IgG |
| Immunogen | Recombinant Human Insulin gene enhancer protein ISL-1 protein (140-349AA) |
| Target | ISL1 |
| Purification | >95%, Protein G purified |
| Conjugation | Unconjugated |
Storage & Handling
−| Storage | Maintain refrigerated at 2-8°C for up to 2 weeks. For long term storage store at -20°C in small aliquots to prevent freeze-thaw cycles. |
|---|---|
| Form/Appearance | Liquid |
| Buffer/Preservatives | Preservative: 0.03% Proclin 300. Constituents: 50% Glycerol |
| Disclaimer | For research use only |
Alternative Names
−Similar Products
−Islet-1 Rabbit Polyclonal Antibody [orb500848]
IF, IHC-Fr, IHC-P, WB
Bovine, Equine, Sheep
Human, Mouse, Rat
Rabbit
Polyclonal
Unconjugated
50 μl, 100 μl, 200 μlIslet 1/ISL1 Antibody [orb1819353]
ELISA, ICC, IF, IHC, WB
Human, Mouse, Rat
Rabbit
Polyclonal
Unconjugated
100 μgIslet 1 antibody [orb251477]
ELISA, IHC-P, WB
Equine, Gallus, Human, Mouse, Rat, Sheep
Rabbit
Polyclonal
Unconjugated
100 μgHuman ISL LIM Homeobox Protein 1 (ISL1) ELISA Kit [orb778270]
Human
0.16-10 ng/mL
0.06 ng/mL
96 T, 48 T

Quality Guarantee
Explore bioreagents carefree to elevate your research. All our products are rigorously tested for performance. If a product does not perform as described on its datasheet, our scientific support team will provide expert troubleshooting, a prompt replacement, or a refund. For full details, please see our Terms & Conditions and Buying Guide. Contact us at [email protected].

Immunohistochemical staining of human testis tissue using ISL1 antibody
Quick Database Links
UniProt Details
−Documents Download
Request a Document
Protocol Information
ISL1 Antibody (orb400868)
Participating in our Biorbyt product reviews program enables you to support fellow scientists by sharing your firsthand experience with our products.
Login to Submit a Review

























