You have no items in your shopping cart.
KIFC1 Rabbit mAb Antibody
Description
Images & Validation
−| Tested Applications | IF, IHC, WB |
|---|---|
| Reactivity | Human |
Key Properties
−| Antibody Type | Recombinant Antibody |
|---|---|
| Host | Rabbit |
| Clonality | Monoclonal |
| Conjugation | Unconjugated |
Storage & Handling
−| Storage | Maintain refrigerated at 2-8°C for up to 2 weeks. For long term storage store at -20°C in small aliquots to prevent freeze-thaw cycles. |
|---|---|
| Disclaimer | For research use only |
Similar Products
−KIFC1 Rabbit mAb Antibody [orb1951984]
ICC, IHC, IP, WB
Human
Rabbit
Monoclonal
Unconjugated
100 μl, 50 μlRecombinant KIFC1 Rabbit mAb Antibody [orb3072943]
IP, WB
Human
Rabbit
Monoclonal
Unconjugated
50 μl, 200 μl, 100 μl, 30 μlKIFC1 Rabbit mAb Antibody [orb3015244]
ICC, IHC-Fr, IHC-P, IP, WB
Human, Mouse
Rabbit
Monoclonal
Unconjugated
100 μl

Quality Guarantee
Explore bioreagents carefree to elevate your research. All our products are rigorously tested for performance. If a product does not perform as described on its datasheet, our scientific support team will provide expert troubleshooting, a prompt replacement, or a refund. For full details, please see our Terms & Conditions and Buying Guide. Contact us at [email protected].

Immunofluorescence of KIFC1 (green) in Hela cells using KIFC1 Rabbit mAb at dilution 1/50, and DAPI (blue).

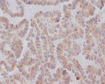
Immunohistochemistry of KIFC1 in paraffin-embedded Human tonsil using KIFC1 Rabbit mAb at dilution 1/2.

Western blot detection of KIFC1 in K562, 3T3, Hela cell lysates using KIFC1 Rabbit mAb (1:1000 diluted). Predicted band size: 74 kDa. Observed band size: 74 kDa.
Quick Database Links
UniProt Details
−Documents Download
Request a Document
Protocol Information
KIFC1 Rabbit mAb Antibody (orb1472745)
Participating in our Biorbyt product reviews program enables you to support fellow scientists by sharing your firsthand experience with our products.
Login to Submit a Review

