You have no items in your shopping cart.
KRT19 Rabbit Polyclonal Antibody
Description
Research Area
Images & Validation
−| Tested Applications | WB |
|---|---|
| Reactivity | Human |
| Predicted Reactivity | Bovine, Canine, Equine, Mouse, Porcine, Rabbit, Rat, Sheep |
Key Properties
−| Host | Rabbit |
|---|---|
| Clonality | Polyclonal |
| Immunogen | The immunogen is a synthetic peptide directed towards the N terminal region of human KRT19 |
| Target | KRT19 |
| Protein Sequence | Synthetic peptide located within the following region: LEVKIRDWYQKQGPGPSRDYSHYYTTIQDLRDKILGATIENSRIVLQIDN |
| Molecular Weight | 44kDa |
| Purification | Affinity Purified |
| Conjugation | Unconjugated |
Storage & Handling
−| Storage | Maintain refrigerated at 2-8°C for up to 2 weeks. For long term storage store at -20°C in small aliquots to prevent freeze-thaw cycles. |
|---|---|
| Buffer/Preservatives | Liquid. Purified antibody supplied in 1x PBS buffer with 0.09% (w/v) sodium azide and 2% sucrose. |
| Concentration | 0.5 mg/ml |
| Expiration Date | 12 months from date of receipt. |
| Disclaimer | For research use only |
Alternative Names
−Similar Products
−Cytokeratin 19/KRT19 Rabbit Polyclonal Antibody [orb316578]
FC, ICC, IF, IHC, WB
Human, Mouse, Rat
Rabbit
Polyclonal
Unconjugated
100 μgCytokeratin 19 Rabbit Polyclonal Antibody [orb5872]
FC, IF, IHC-Fr, IHC-P, WB
Bovine, Canine, Equine, Gallus, Mouse, Porcine, Rabbit, Rat
Human
Rabbit
Polyclonal
Unconjugated
50 μl, 200 μl, 100 μlCytokeratin 19 rabbit pAb Antibody [orb765006]
ELISA, IF, IHC, WB
Human, Mouse, Rat
Polyclonal
Unconjugated
100 μlCytokeratin 19 rabbit pAb Antibody [orb766954]
ELISA, IF, IHC, WB
Human, Mouse, Rat
Polyclonal
Unconjugated
100 μl, 50 μlCytokeratin 19 Rabbit Polyclonal Antibody (FITC) [orb8720]
FC, IF
Bovine, Canine, Equine, Gallus, Mouse, Porcine, Rabbit, Rat
Human
Rabbit
Polyclonal
FITC
100 μl

Quality Guarantee
Explore bioreagents carefree to elevate your research. All our products are rigorously tested for performance. If a product does not perform as described on its datasheet, our scientific support team will provide expert troubleshooting, a prompt replacement, or a refund. For full details, please see our Terms & Conditions and Buying Guide. Contact us at [email protected].

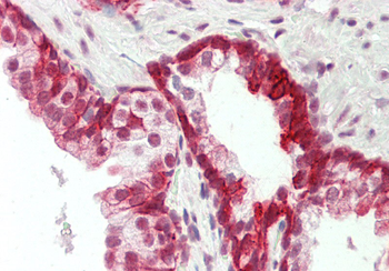
Rabbit Anti-KRT19 antibody, Formalin Fixed Paraffin Embedded Tissue: Human Prostate, Primary antibody Concentration: 1:100, Secondary Antibody: Donkey anti-Rabbit-Cy3, Secondary Antibody Concentration: 1:200, Magnification: 20x, Exposure Time: 0.5-2.0 sec.

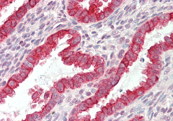
Rabbit Anti-KRT19 antibody, Formalin Fixed Paraffin Embedded Tissue: Human Uterus, Primary antibody Concentration: 1:100, Secondary Antibody: Donkey anti-Rabbit-Cy3, Secondary Antibody Concentration: 1:200, Magnification: 20x, Exposure Time: 0.5-2.0 sec.

WB Suggested Anti-KRT19 Antibody Titration: 0.2-1 ug/ml, ELISA Titer: 1:312500, Positive Control: Human Lung.
Documents Download
Request a Document
KRT19 Rabbit Polyclonal Antibody (orb580066)
Participating in our Biorbyt product reviews program enables you to support fellow scientists by sharing your firsthand experience with our products.
Login to Submit a Review







































