You have no items in your shopping cart.
MGMT Antibody
SKU: orb633165
Description
Research Area
Cancer, DNA Damage, Epigenetics
Images & Validation
−Item 1 of 1
| Tested Applications | ELISA, IHC |
|---|---|
| Dilution range | IHC: 1:50 - 1:500 |
| Reactivity | Human |
Key Properties
−| Antibody Type | Primary Antibody |
|---|---|
| Host | Rabbit |
| Clonality | Polyclonal |
| Isotype | IgG |
| Immunogen | O-6-methylguanine-DNA methyltransferase |
| Target | MGMT |
| Molecular Weight | 22 kDa |
| Purity | ≥95% as determined by SDS-PAGE |
| Purification | Immunogen affinity purified |
| Conjugation | Unconjugated |
Storage & Handling
−| Storage | Maintain refrigerated at 2-8°C for up to 2 weeks. For long term storage store at -20°C in small aliquots to prevent freeze-thaw cycles. |
|---|---|
| Form/Appearance | liquid |
| Disclaimer | For research use only |
Alternative Names
−MGMT
Similar Products
−MGMT Antibody [orb1409985]
IF, IHC, WB
Human
Mouse
Monoclonal
Unconjugated
100 μg, 20 μg, 100 μg (without BSA and Azide)MGMT rabbit pAb Antibody [orb765663]
ELISA, IF, IHC, WB
Human, Rat
Polyclonal
Unconjugated
50 μl, 100 μl

Quality Guarantee
Explore bioreagents carefree to elevate your research. All our products are rigorously tested for performance. If a product does not perform as described on its datasheet, our scientific support team will provide expert troubleshooting, a prompt replacement, or a refund. For full details, please see our Terms & Conditions and Buying Guide. Contact us at [email protected].

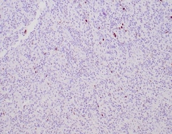
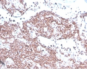
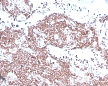
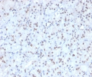
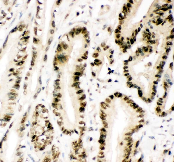
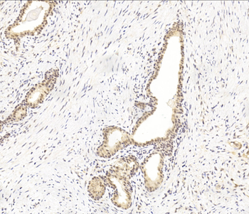
Immunohistochemistry of paraffin-embedded human liver cancer using orb633165 (MGMT antibody) at dilution of 1:200.
Quick Database Links
Gene Symbol
MGMT
UniProt
UniProt Details
− No UniProt data available
Documents Download
Datasheet
Product Information
Request a Document
Protocol Information
IHC
Immunohistochemistry
ELISA
Enzyme-linked Immunosorbent Assay (EIA)
MGMT Antibody (orb633165)
Based on 0 reviews
Participating in our Biorbyt product reviews program enables you to support fellow scientists by sharing your firsthand experience with our products.
Login to Submit a Review
























